

EnCor Biotechnology
Mouse Monoclonal Antibody to Neurofilament NF-H (Nfh, NEFH), Cat# MCA-9B12
Description
MCA-9B12 is a mouse monoclonal antibody raised against native axonal phosphorylated NF-H purified from bovine spinal cord (9). MCA-9B12 recognizes the phosphorylated form of the multiple NF-H lysine-serine-proline (KSP) sequences. These phosphorylated repeats are normally found only in axons, so this antibody and other similar NF-H antibodies are useful for the visualization of axons (5,7). There is some cross-reactivity with the phosphorylated KSP type sequences found in the related neurofilament subunit NF-M. The antibody recognizes NF-H strongly in all mammals tested to date and also in chicken. The antibody works well for western blotting and for IF, ICC and IHC (for IHC see data under "Additional Data" tab). We also market alternate mouse monoclonal antibodies to NF-H MCA-NAP4 and MCA-AH1. We also generated rabbit, goat and chicken polyclonals to the same immunogen, RPCA-NF-H, GPCA-NF-H and CPCA-NF-H respectively all of which have similar specificities to MCA-9B12.
- Cell Structure Marker
- Cell Type Marker
- Developmental Marker
- Epitope Mapped Antibodies
- Immunohistochemistry Verified
- Mouse Monoclonal Antibodies
Add a short description for this tabbed section
Immunogen: | Native NF-H purified from bovine spinal cord, binding to phosphorylated KSP sequences |
HGNC Name: | NEFH |
UniProt: | P12036 |
Molecular Weight: | 200-220kDa |
Host: | Mouse |
Isotype: | IgG2b heavy, κ light |
Species Cross-Reactivity: | Human, Rat, Mouse, Cow, Pig, Chicken |
RRID: | AB_2572358 |
Format: | Protein G affinity purified antibody at 1mg/mL in 50% PBS, 50% glycerol plus 5mM NaN3 |
Applications: | WB, IF/ICC, IHC |
Recommended Dilutions: | WB: 1:10,000. ICC/IF, and IHC: 1:2,000-1:5,000. |
Storage: | Store at 4°C for short term, for longer term store at -20°C. Stable for 12 months from date of receipt. |
Neurofilaments are the 10nm or intermediate filament proteins found specifically in neurons, and are composed predominantly of three major proteins called NF-L, NF-M and NF-H, though other proteins may also be present. NF-H is the neurofilament high or heavy molecular weight polypeptide and runs on SDS-PAGE gels at 160-220 kDa, with some variability across species boundaries though in reality is much smaller, about 110kDa (1,2). The unusual SDS-PAGE mobility is due to a very high content of negatively charged amino acids and the non-phosphorylated form runs on SDS-PAGE at about 160kDa. The predominant type of NF-H is the axonal form which is heavily serine phosphorylated on 40 or more tandemly repeated lysine-serine-proline (KSP) containing peptides (3-5). The phosphorylation of these peptides results in further retardation on SDS-PAGE gels, so the heavily phosphorylated axonal form runs at 200-220kDa with some species variability. Antibodies to NF-H are useful for identifying axonal processes in tissue sections and in culture. NF-H antibodies can also be useful in visualizing neurofilament accumulations seen in neurological disorders, such as amyotrophic lateral sclerosis, Alzheimer’s disease and following traumatic injury. The phosphorylated axonal form of NF-H, usually referred to as pNF-H, can be detected in blood and CSF following a variety of damage and disease states resulting in axonal compromise, and antibodies such as this can be used to used to quantify such ongoing axonal loss (e.g. 6-8).
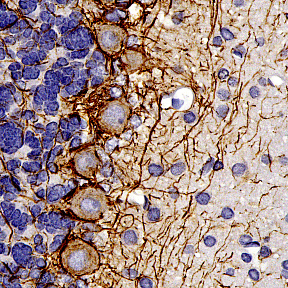
Chromogenic immunostaining of a formalin fixed paraffin embedded human cerebellum section with mouse mAb to NF-H, MCA-9B12, dilution 1:10,000, detected with DAB (brown) using the the Vector Labs ImmPRESS method and reagents with citrate buffer retrieval. Hematoxylin (blue) was used as the counterstain. In this image, MCA-9B12 labels Purkinje cell dendrites and the projections of neuronal cells within the granular layer. This antibody performs well in testing with both 4% PFA and standard NBF fixed rat, mouse and human tissues. Mouse select image for larger view.
Rat cortical neuron-glial cell culture stained with MCA-9B12, 1:5,000 dilution, in red and co-stained with polyclonal antibody to neurofilament NF-L RPCA-NF-L, dilution 1:5,000 in green. The MCA-9B12 antibody binds to phosphorylated NF-H found in some mature axonal profiles, while the NF-L binds to both axonal, dendritic and developing neuronal processes. The mature axonal profiles contain both NF-L and phosphorylated NF-H and so appear yellow, while processes expressing only NF-L appear green. Nuclear DNA is revealed by DAPI dye in blue. Mouse select image for larger view.
1. Perrot R, et al. Review of the Multiple Aspects of Neurofilament Functions, and their Possible Contribution to Neurodegeneration. Mol. Neurobiol. 38:27-65 (2008).
2. Lépinoux-Chambaud C. Eyer J. Review on intermediate filaments of the nervous system and their pathological alterations. Histochem. Cell Biol. 140:13-22 (2013).
3. Sternberger LA, Sternberger NH. Monoclonal antibodies distinguish phosphorylated and nonphosphorylated forms of neurofilaments in situ. PNAS
80:6126-30 (1983).
4. Julien JP, Mushynski WE. Multiple phosphorylation sites in mammalian neurofilament polypeptides. J. Biol. Chem. 257:10467-70 (1982).
5. Lee VM, et al. Identification of the major multiphosphorylation site in mammalian neurofilaments. PNAS 85:1998-2002 (1988).
6. Shaw G, et al. Hyperphosphorylated neurofilament NF-H is a serum biomarker of axonal injury. Biochem. Biophys. Res. Commun. 336:1268-77 (2005).
7. Boylan et al, Immunoreactivity of the phosphorylated axonal neurofilament H subunit (pNF-H) in blood of ALS model rodents and ALS patients: evaluation of blood pNF-H as a potential ALS biomarker. J. Neurochem. 111:1182-91 (2009).
8. Shaw G. The Use and Potential of pNF-H as a General Blood Biomarker of Axonal Loss: An Immediate Application for CNS Injury. In: Kobeissy FH, editor. Brain Neurotrauma: Molecular, Neuropsychological, and Rehabilitation Aspects. CRC Press/Taylor & Francis; 2015. Chapter 21 .
9. Delacourte A, et al. Study of the 10-nm-filament fraction isolated during the standard microtubule preparation. Biochem. J. 191:543-6 (1980).
Add a short description for this tabbed section