News
September 2025 News
We will be at the Society for Neuroscience annual meeting in the convention center of San Diego 15th-19th of November....
July 2025 News
A recent very impressive paper in Science Advances describes a detailed 3D map of the entire mouse brain using triple...
April 2025 News
TdTomato is a widely used fluorescent protein which is typically expressed fused with a protein of interest, allowing the fusion...
January 2025 News
We just put our new website on-line, and we hope you like it! Sadly we have had...
December 2024 News
We release a novel and extremely high quality monoclonal antibody to c-FOS MCA-1B62. This antibody was screened...
September 2024 News
We went to the big Society of Neuroscience Meeting in November in Chicago. As usual we got...
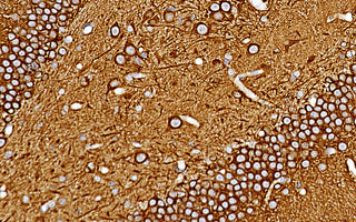
August 2024 News
We added a new rabbit polyclonal antibody to MAP2 RPCA-MAP2ABCD. This recognizes all isotypes of MAP2, both high...
January 2024 News
We release two novel antibodies to the important enzyme catalase, mouse monoclonal MCA-6H14 and rabbit polyclonal RPCA-Catalase. Both are useful...
December 2023 News
We now have new data on two rabbit polyclonal antibodies to microtubule associated protein 2, RPCA-MAP2A/B and a new antibody...
