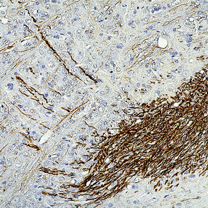
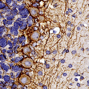
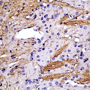
Developmental Marker