EnCor Biotechnology
Mouse Monoclonal Antibody to Neurofilament NF-L (Nfl, NEFL), Cat# MCA-DA2
Description
The MCA-DA2 antibody was made against a preparation of neurofilament light chain (NF-L, a.k.a. NfL and NEFL) isolated from pig spinal cord. The antibody works well for western blotting and for IF, ICC and IHC on a variety of species including human, rat and mouse (for IHC see data under "Additional Data" tab). We recently epitope mapped this antibody to a short peptide in the C-terminal "tail" region of the molecule within the sequence SYYTSHVQEEQIEVE, amino acids 441-455 of the human sequence. We recently found that the epitope for this antibody is rapidly degraded during neurodegeneration so this antibody works in a fashion complementary to our novel Degenotag™ reagents, see our recent paper for details (7). A detailed peer-reviewed study used this antibody purchased from Chemicon, now part of MilliporeSigma. These authors independently verified the specificity of this antibody and used it to characterize NF-L expression in the entire mouse brain (8). Alternate mouse monoclonal antibodies made against recombinant full length human NF-L are MCA-1B11, MCA-1D44 and MCA-6H63 which recognize epitopes in the α-helical coiled coil region of NF-L which are hidden in healthy axons but exposed on neurodegeneration (7). Also available from EnCor are rabbit and chicken polyclonal antibodies to NF-L made against recombinant full length human NF-L, RPCA-NF-L, and CPCA-NF-L. All four antibodies work on a variety of species and are clean and specific on western blots, cell and tissue staining. We also generated a polyclonal antibody RPCA-NF-L-Ct to the C-terminus of NF-L, which like MCA-DA2, binds an epitope destroyed on neurodegeneration.
- Cell Structure Marker
- Cell Type Marker
- Cytoskeletal Marker
- Epitope Mapped Antibodies
- Immunohistochemistry Verified
- Mouse Monoclonal Antibodies
- Pathology Related Marker
Add a short description for this tabbed section
| Immunogen: | Enzymatically dephosphorylated full length pig NF-L protein |
| HGNC Name: | NEFL |
| UniProt: | P07196 |
| Molecular Weight: | 68-70kDa by SDS-PAGE |
| Host: | Mouse |
| Isotype: | IgG1 heavy, κ light |
| Species Cross-Reactivity: | Human, rat, mouse, cow, pig, horse |
| RRID: | AB_2572362 |
| Format: | Protein G affinity purified antibody at 1mg/mL in 50% PBS, 50% glycerol plus 5mM NaN3 |
| Applications: | WB, IF/ICC, IHC |
| Recommended Dilutions: | WB: 1:5,000. IF/ICC: 1:500-1:1,000. IHC: 1:1,000-1:2,000. |
| Storage: | Store at 4°C for short term, for longer term at -20°C. |
Neurofilaments are the 10nm or intermediate filament proteins found specifically in neurons, and are composed predominantly of three major proteins called NF-L, NF-M and NF-H, though other filament proteins may be included also. The major function of neurofilaments is likely to control the diameter of large axons (1). NF-L is the neurofilament light or low molecular weight polypeptide and runs on SDS-PAGE gels at 68-70kDa with some variability across species. Antibodies to NF-L like MCA-DA2 are useful for identifying neuronal cells and their processes in cell culture and sectioned material. NF-L antibody can also be useful for the visualization of neurofilament rich accumulations seen in many neurological diseases, such as Lou Gehrig’s disease (ALS), giant axon neuropathy, Charcot-Marie Tooth disease and others (2-4). Much interest has recently been focused on the detection of NF-L released from neurons into blood and CSF as a surrogate marker of primarily axonal loss in a variety of types of CNS injury and degeneration (5).

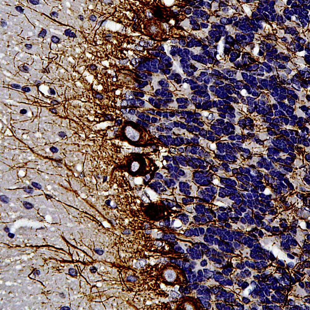
Chromogenic immunostaining of a formalin fixed paraffin embedded human cerebellum section with mouse mAb to NF-L, MCA-DA2, dilution 1:2,000, detected with DAB (brown) using the Vector Labs ImmPRESS method and reagents with Borg retrieval (pH=9.5, Biocare Medical). Hematoxylin (blue) was used as the counterstain. The MCA-DA2 antibody strongly labels the perikarya and processes of Purkinje cells. This antibody performs well in testing with both 4% PFA and NBF fixed rat tissues but requires high pH retrieval to stain long term NBF fixed human tissue effectively. Mouse select image for larger view.

Chromogenic immunostaining of a formalin fixed paraffin embedded human cerebellum section with mouse mAb to NF-L, MCA-DA2, dilution 1:2,000, detected with DAB (brown) using the Vector Labs ImmPRESS method and reagents with citrate buffer retrieval. Hematoxylin (blue) was used as the counterstain. MCA-DA2 labels neuronal cells and their processes. This antibody performs well in testing with both 4% PFA and standard NBF fixed tissues and is our recommended clone for use in NF-L immunostaining of rat tissue. Mouse and human tissue has also been validated in paraffin immuno-histochemistry with this antibody. Mouse select image for larger view.

Immunofluorescent analysis of rat frontal cortex section stained with mouse mAb to NF-L, MCA-DA2, dilution 1:500 in red, and costained with chicken pAb to GFAP, CPCA-GFAP, dilution 1:5,000 in green. Following transcardial perfusion of rat with 4% paraformaldehyde, brain was post fixed for 24 hours, cut to 45μM, and free-floating sections were stained with above antibodies. The MCA-DA2 antibody labels cell bodies and processes of pyramidal neurons, as well as dendrites and axons of other neuronal cells, while the GFAP antibody stains the network of glial cells. Mouse select image for larger view.
Peer reviewed publications which make use of this antibody as supplied by EnCor can be found through a CiteAb search by selecting this link.
The antibody has also been sold through many OEM partners, and peer-reviewed publications making use of it can be found by searching Google Scholar for "MCA-DA2 AND Antibody" or, if you are viewing this online, simply by selecting this link.
The epitope for this antibody has been mapped, using a set of overlapping 20 amino acid peptides, to a region in the C-terminal "tail" of NF-L. The peptide TRSFPSYYTSHVQEEQIEVE (436-455 of the human sequence) strongly interferes with the binding of the antibody to recombinant human NF-L. The partially overlapping peptide QIEVEETIEAAKAEEAKDEP (451-470 of the human sequence) also inhibits binding but much less efficiently. These findings suggest that the epitope is likely centered on the HVQEEQIEVE peptide.
1. Hoffman et al. Neurofilament gene expression:a major determinant of axonal caliber. PNAS 84:3472-6 (1987).
2. Perrot R, et al. Review of the Multiple Aspects of Neurofilament Functions, and their Possible Contribution to Neurodegeneration. Mol. Neurobiol. 38:27-65 (2008).
3. Lépinoux-Chambaud C. Eyer J. Review on intermediate filaments of the nervous system and their pathological alterations. Histochem. Cell Biol. 140:13-22 (2013).
4. Liu Q. et al. Neurofilamentopathy in Neurodegenerative Diseases. Open Neurol. J. 5:58–62 (2011).
5. Bacioglu M, et al. Neurofilament light chain in blood and CSF as marker of disease progression in mouse models and in neurodegenerative diseases. Neuron 91:56-66 (2016).
6. Evans, J, et al. Characterization of mitotic neurons derived from adult rat hypothalamus and brain stem. J. Neurophysiol. 87:1076-1085 (2002).
7. Shaw G, et al. Uman type neurofilament light antibodies are effective reagents for the imaging of neurodegeneration. Brain Communications doi.org/10.1093/braincomms/fcad067.
8. Paulussen M. et al. Cytoarchitecture of the mouse neocortex revealed by the low-molecular-weight neurofilament protein subunit. Brain Struct Funct 216, 183–199 (2011).
Peer reviewed publications which make use of this antibody as supplied by EnCor can be found through a CiteAb search by selecting this link.
The antibody has also been sold through many OEM partners, and peer-reviewed publications making use of it can be found by searching Google Scholar for "MCA-DA2 AND Antibody" or, if you are viewing this online, simply by selecting this link.
Add a short description for this tabbed section
