


EnCor Biotechnology
Mouse Monoclonal Antibody to Neurofilament NF-H (Nfh, NEFH), Cat# MCA-NAP4
Description
MCA-NAP4 is a mouse monoclonal antibody raised against native axonal phosphorylated NF-H purified from bovine spinal cord (9). MCA-NAP4 recognizes repeated phosphorylated lysine-serine-proline (KSP) sequences but not non-phosphorylated KSP sequences, similar to other antibodies to NF-H (5,7). In some species there is some cross-reactivity with the phosphorylated KSP sequences found in the related neurofilament subunit NF-M. The antibody recognizes NF-H strongly in all mammals tested to date and also in chicken. It recognizes neurofilaments in frozen sections in tissue culture and in formalin fixed sections. We also supply other mouse monoclonal antibodies and widely used rabbit, chicken and goat polyclonal antibodies made to the same immunogen, MCA-9B12, MCA-AH1, GPCA-NF-H, CPCA-NF-H and GPCA-NF-H.
- Cell Structure Marker
- Cell Type Marker
- Cytoskeletal Marker
- Developmental Marker
- Epitope Mapped Antibodies
- Immunohistochemistry Verified
- Mouse Monoclonal Antibodies
- Our Most Widely Used Reagents
Add a short description for this tabbed section
Immunogen: | Native NF-H purified from bovine spinal cord |
HGNC Name: | NEFH |
UniProt: | F1MSQ6 |
Molecular Weight: | 200-220kDa |
Host: | Mouse |
Isotype: | IgG1 heavy, κ light |
Species Cross-Reactivity: | Human, rat, mouse, cow, pig, horse, chicken |
RRID: | AB_2572359 |
Format: | Protein G affinity purified antibody at 1mg/mL in 50% PBS, 50% glycerol plus 5mM NaN3 |
Applications: | WB, IF/ICC, IHC |
Recommended Dilutions: | WB: 1:10,000. IF/ICC: 1:1,000. IHC: 1:10,000. |
Storage: | Store at 4°C for short term, for longer term store at -20°C. Stable for 12 months from date of receipt. |
Neurofilaments are the 10nm or intermediate filament proteins found specifically in neurons, and are composed predominantly of three major proteins called NF-L, NF-M and NF-H, though other proteins may also be present. NF-H is the neurofilament high or heavy molecular weight polypeptide and runs on SDS-PAGE gels at 200-220 kDa, with some variability across species boundaries. The protein is in reality much smaller in molecular size, about 110kDa (1,2). The unusual SDS-PAGE mobility is due partly to a very high content of charged amino acids, particularly glutamic acid rich regions, and the non-phosphorylated form runs on SDS-PAGE at about 160kDa. The predominant type of NF-H is the axonal form which is heavily serine phosphorylated on 40 or more tandemly repeated lysine-serine-proline (KSP) containing peptides (3-5). The phosphorylation of these peptides results in considerable further retardation on SDS-PAGE gels, so the heavily phosphorylated axonal form runs at 200-220kDa with some species variability. Antibodies to NF-H are useful for identifying axonal processes in tissue sections and in culture. NF-H antibodies can also be useful in visualizing neurofilament accumulations seen in many neurological disorders, such as Amyotrophic Lateral Sclerosis (also known as Lou Gehrig’s disease), Alzheimer’s disease and following traumatic injury. The phosphorylated axonal form of NF-H, usually referred to as pNF-H, can be detected in blood and CSF following a variety of damage and disease states resulting in axonal compromise, and antibodies such as this can be used to used to quantify such ongoing axonal loss (e.g. 6-8).
This antibody has been used as a very effective ELISA detection reagent and is a component of our ELISA-pNF-H-v2 kit.
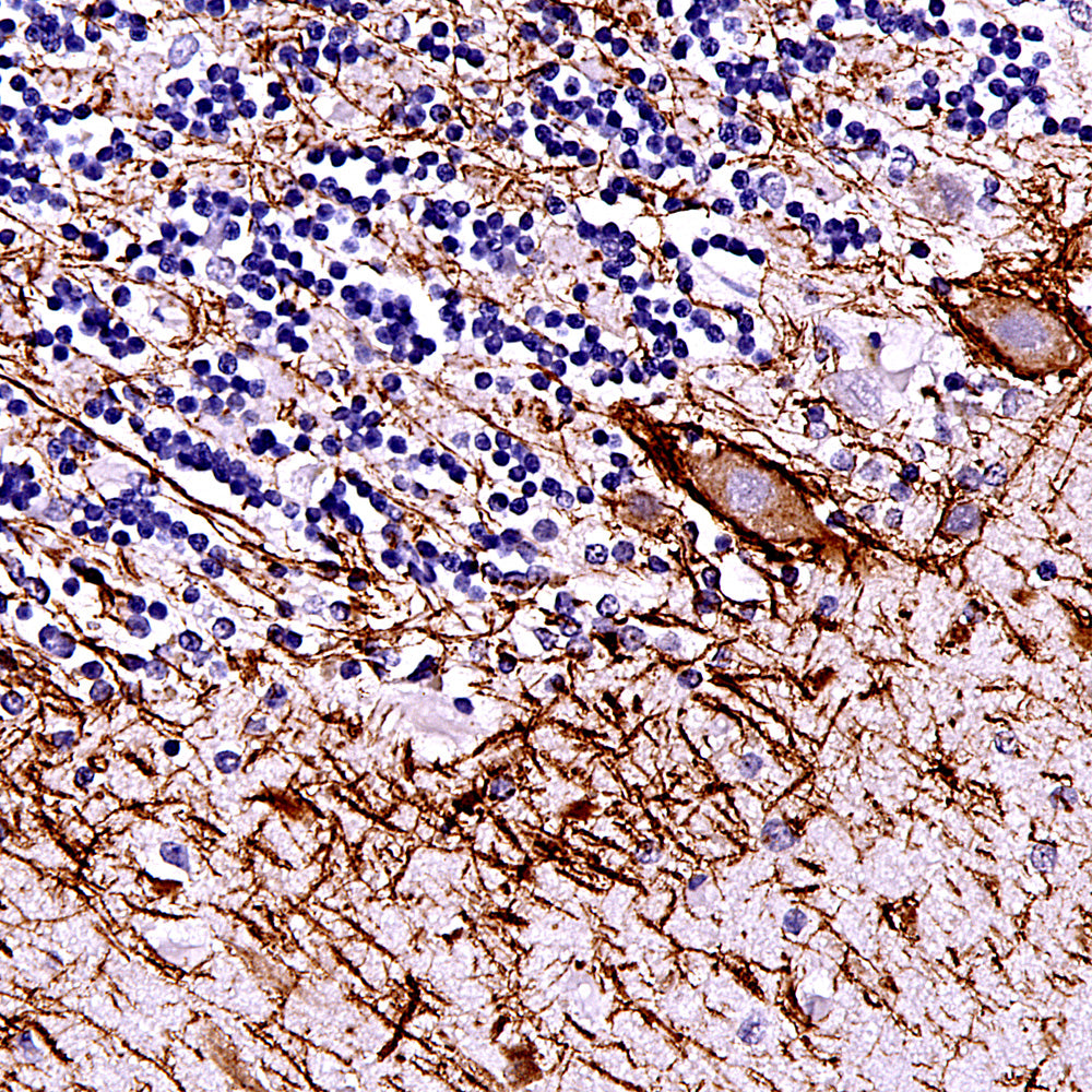
Chromogenic immunostaining of a formalin fixed paraffin embedded human cerebellum section with mouse mAb to NF-H, MCA-NAP4, dilution 1:10,000, detected with DAB (brown) using the the Vector Labs ImmPRESS method and reagents with citrate buffer retrieval. Hematoxylin (blue) was used as the counterstain. MCA-NAP4 strongly labels Purkinje cell dendrites and the projections of neuronal cells within the granular layer and the white matter. This antibody performs well in testing with both 4% PFA and standard NBF fixed rat, and human tissues. Mouse select image for larger view.
1. Perrot R, et al. Review of the Multiple Aspects of Neurofilament Functions, and their Possible Contribution to Neurodegeneration. Mol. Neurobiol. 38:27-65 (2008).
2. Lépinoux-Chambaud C. Eyer J. Review on intermediate filaments of the nervous system and their pathological alterations. Histochem. Cell Biol. 140:13-22 (2013).
3. Sternberger LA, Sternberger NH. Monoclonal antibodies distinguish phosphorylated and nonphosphorylated forms of neurofilaments in situ. PNAS
80:6126-30 (1983).
4. Julien JP, Mushynski WE. Multiple phosphorylation sites in mammalian neurofilament polypeptides. J. Biol. Chem. 257:10467-70 (1982).
5. Lee VM, et al. Identification of the major multiphosphorylation site in mammalian neurofilaments. PNAS 85:1998-2002 (1988).
6. Shaw G, et al. Hyperphosphorylated neurofilament NF-H is a serum biomarker of axonal injury. Biochem. Biophys. Res. Commun. 336:1268-77 (2005).
7. Boylan et al, Immunoreactivity of the phosphorylated axonal neurofilament H subunit (pNF-H) in blood of ALS model rodents and ALS patients: evaluation of blood pNF-H as a potential ALS biomarker. J. Neurochem. 111:1182-91 (2009).
8. Shaw G. The Use and Potential of pNF-H as a General Blood Biomarker of Axonal Loss: An Immediate Application for CNS Injury. In: Kobeissy FH, editor. Brain Neurotrauma: Molecular, Neuropsychological, and Rehabilitation Aspects. CRC Press/Taylor & Francis; 2015. Chapter 21 .
9. Delacourte A, et al. Study of the 10-nm-filament fraction isolated during the standard microtubule preparation. Biochem. J. 191:543-6 (1980).
Add a short description for this tabbed section