EnCor Biotechnology
Mouse Monoclonal Antibody to Methyl-CpG Binding Protein 2 (MeCP2), Cat# MCA-4F11
Description
The MCA-4F11 antibody was made against full length recombinant human MeCP2 expressed in and purified from E. coli and can be used to identify neurons expressing high levels of this nuclear protein. The antibody works well for western blotting and for IF, ICC and IHC (see data under "Additional Data" tab). We also supply an alternate monoclonal antibody to MECP2 MCA-5H12 and also rabbit and chicken polyclonal antibodies, RPCA-MeCP2 and CPCA-MeCP2.
Add a short description for this tabbed section
| Immunogen: | Full length human recombinant MeCP2 expressed in and purified from E. coli. |
| HGNC Name: | MECP2 |
| UniProt: | P51608 |
| Molecular Weight: | 70-75kDa by SDS-PAGE |
| Host: | Mouse |
| Isotype: | IgG1 |
| Species Cross-Reactivity: | Human, rat, mouse, horse, dog, cow, pig |
| RRID: | AB_2737435 |
| Format: | Protein G affinity purified antibody at 1mg/mL in 50% PBS, 50% glycerol plus 5mM NaN3 |
| Applications: | WB, IF/ICC, IHC |
| Recommended Dilutions: | WB: 1:5,000-10,000. IF/ICC: 1:500. IHC: 1:1,000 |
| Storage: | Store at 4°C for short term, for longer term store at -20°C. Stable for 12 months from date of receipt. |
Methyl-CpG Binding Protein 2 (MeCP2) is widely expressed in tissues and particularly heavily in neurons. It is a nuclear protein which was found to bind methylated cytosines in CpG islands in DNA, but which may also bind hydroxymethyl cytosine residues (1-3). Methyl and hydroxymethyl cytosines are generally found in regions of DNA regulating the expression of specific genes and MeCP2 is thought to function as a gene regulator, though it may have other functions. The MeCP2 protein contains one methyl-CpG binding domain and two AT hook domains, highly basic peptides which bind AT rich DNA sequences. The MeCP2 gene, MECP2 is located on the X-chromosome and loss of function mutations of the gene cause Rett syndrome, a relatively rare neurodevelopmental, autistic disorder which presents almost exclusively in females, since similar mutation of MECP2 in males is almost invariably lethal (3). Rett patients are apparently normal at birth but develop neurological problems over the period when extensive synaptogenesis is occurring, which coincides with the expression of high levels of MeCP2 in normal brain. The Rett brain shows smaller more densely packed neurons with less extensive dendritic branching (2). Duplication of the MECP2 gene was found to be the cause of a different neurodevelopmental disorder referred to a MECP2 duplication syndrome (4). Levels of MeCP2 normally alter dynamically and the protein is regulated by phosphorylation on multiple sites (5-7).

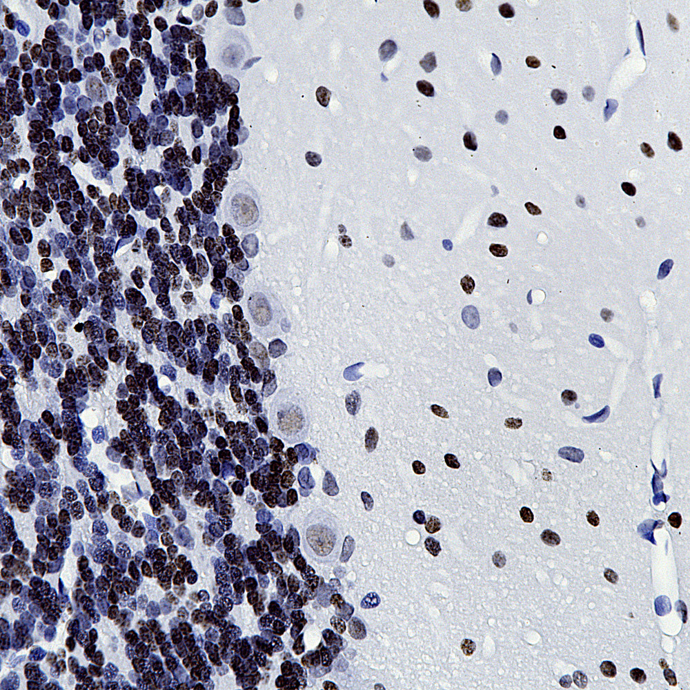
Chromogenic immunostaining of a 4% PFA fixed paraffin embedded rat hippocampus section with mouse mAb to MeCP2, MCA-4F11, dilution 1:1,000, detected with DAB (brown) using the Vector Elite ABC-HRP detection and reagents with citrate buffer retrieval. Hematoxylin (blue) was used as the counterstain. MCA-4F11 labels the nuclei of neurons with varying degree of expression. This antibody performs well in testing with 4% PFA fixed tissues but does not stain NBF fixed tissue effectively. Mouse select image for larger view.
1. Klose RJ, et al. DNA binding selectivity of MeCP2 due to a requirement for A/T sequences adjacent to methyl-CpG. Mol. Cell 19:667–78 (2005).
2. Amir RE, et al. Rett syndrome is caused by mutations in X-linked MECP2, encoding methyl-CpG-binding protein 2. Nat. Genet. 23:185–8 (1999).
3. Pohodich AE, Zoghbi HY. Rett syndrome: disruption of epigenetic control of postnatal neurological functions. Hum. Mol. Genet. 24:R10-6 (2010).
4. Ramocki MB, Tavyev YJ, Peters SU. The MECP2 duplication syndrome. Am. J. Med. Genet. A. 152A:1079-88 (2010).
5. Zhou Z, et al. Brain-specific phosphorylation of MeCP2 regulates activity dependent Bdnf transcription, dendritic growth, and spine maturation. Neuron 52:255–69 (2006).
6. Deng JV, et al. MeCP2 in the nucleus acumbens contributes to neural and behavioral responses to psychostimulants. Nat. Neurosci. 13:1128-36 (2010).
7. Tao J, et al. Phosphorylation of Mecp2 at Serine 80 regulates its chromatin association and neurological function. PNAS 24:106 (2009).
Add a short description for this tabbed section
