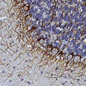
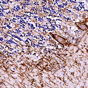
Mouse Monoclonal Antibodies