

EnCor Biotechnology
Rabbit Polyclonal Antibody to Methyl-CpG Binding Protein 2 (MeCP2), Cat# RPCA-MeCP2
Description
The RPCA-MeCP2 antibody was made against full length recombinant human MeCP2 expressed in and purified from E. coli and can be used to identify neurons expressing high levels of this nuclear protein. This antibody works well for immunofluorescence and also on formalin fixed paraffin embedded sections, select the "Additional Data" tab to view this data. We also supply two mouse monoclonals and a chicken polyclonal antibody to the same immunogen, MCA-4F11, MCA-5H12 and CPCA-MeCP2.
Add a short description for this tabbed section
Immunogen: | Full length recombinant human MeCP2 expressed in and purified from E. coli |
HGNC Name: | MECP2 |
UniProt: | P51608 |
Molecular Weight: | 70-75kDa by SDS-PAGE |
Host: | Rabbit |
Species Cross-Reactivity: | Human, monkey, rat, mouse |
RRID: | AB_2572345 |
Format: | Immunogen affinity purified antibody at 1mg/mL in 50% PBS, 50% glycerol plus 5mM NaN3 |
Applications: | WB, IF/ICC, IHC |
Recommended Dilutions: | WB: 1:10,000-1:20,000. IF/ICC and IHC: 1:2,000-1:5,000. |
Storage: | Store at 4°C for short term, for longer term store at -20°C. Stable for 12 months from date of receipt. |
Methyl-CpG Binding Protein 2 (MeCP2) is widely expressed in tissues and particularly heavily in neurons. It is a nuclear protein which was found to bind methylated cytosines in CpG islands in DNA, but which may also bind hydroxymethyl cytosine residues (1-3). Methyl and hydroxymethyl cytosines are generally found in regions of DNA regulating the expression of specific genes and MeCP2 is thought to function as a gene regulator, though it may have other functions. The MeCP2 protein contains one methyl-CpG binding domain and two AT hook domains, highly basic peptides which bind AT rich DNA sequences. The MeCP2 gene, MECP2 is located on the X-chromosome and loss of function mutations of the gene cause Rett syndrome, a relatively rare neurodevelopmental, autistic disorder which presents almost exclusively in females, since similar mutation of MECP2 in males is almost invariably lethal (3). Rett patients are apparently normal at birth but develop neurological problems over the period when extensive synaptogenesis is occurring, which coincides with the expression of high levels of MeCP2 in normal brain. The Rett brain shows smaller more densely packed neurons with less extensive dendritic branching (2). Duplication of the MECP2 gene was found to be the cause of a different neurodevelopmental disorder referred to a MECP2 duplication syndrome (4). Levels of MeCP2 normally alter dynamically and the protein is regulated by phosphorylation on multiple sites (5-7).
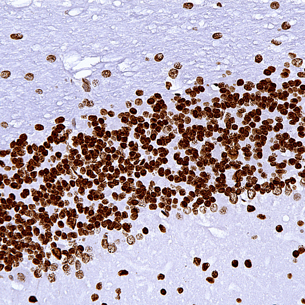
Chromogenic immunostaining of a 4% PFA fixed paraffin embedded rat hippocampus section with rabbit pAb to MeCP2, RPCA-MeCP2, dilution 1:5,000, detected with DAB (brown) using the Vector Labs ImmPRESS method and reagents with citrate buffer retrieval. The RPCA-c-FOS antibody specifically labels activated neurons. This antibody performs well with 4% PFA and NBF fixed mouse, and rat tissues; but is weak in human sections tested due to both its rapid turnover rate and sensitivity to over fixation. Mouse select image for larger view.
Immunofluorescent analysis of COS-1 cells costained with rabbit pAb to MeCP2, RPCA-MeCP2, dilution 1:5,000, in red, and mouse mAb to ALDHL1, MCA-4A12, dilution 1:1,000, in green. Blue is DAPI staining of nuclear DNA. Following fixation with 3.7% formalin for 5 min, cells were permeabilized with ice cold methanol, blocked and stained with above antibodies. The MeCP2 antibody selectively stains nuclei of these African green monkey derived cells, while ALDH1L1 protein is expressed in the cytoplasm of these cells. Mouse select image for larger view.
1. Klose RJ, et al. DNA binding selectivity of MeCP2 due to a requirement for A/T sequences adjacent to methyl-CpG. Mol. Cell 19:667–78 (2005).
2. Amir RE, et al. Rett syndrome is caused by mutations in X-linked MECP2, encoding methyl-CpG-binding protein 2. Nat. Genet. 23:185–8 (1999).
3. Pohodich AE, Zoghbi HY. Rett syndrome: disruption of epigenetic control of postnatal neurological functions. Hum. Mol. Genet. 24:R10-6 (2010).
4. Ramocki MB, Tavyev YJ, Peters SU. The MECP2 duplication syndrome. Am. J. Med. Genet. A. 152A:1079-88 (2010).
5. Zhou Z, et al. Brain-specific phosphorylation of MeCP2 regulates activity dependent Bdnf transcription, dendritic growth, and spine maturation. Neuron 52:255–69 (2006).
6. Deng JV, et al. MeCP2 in the nucleus acumbens contributes to neural and behavioral responses to psychostimulants. Nat. Neurosci. 13:1128-36 (2010).
7. Tao J, et al. Phosphorylation of Mecp2 at Serine 80 regulates its chromatin association and neurological function. PNAS 24:106 (2009).
Add a short description for this tabbed section