EnCor Biotechnology
Rabbit Polyclonal Antibody to Peripherin, Cat# RPCA-Peri
Description
The RPCA-Peri antibody was made against full length human peripherin expressed in and purified from E. coli and has been widely used. We also manufacture a mouse monoclonal antibody to peripherin which has been used in studies of peripherin expression for many years and in many peer reviewed publications, MCA-8G2. We also made an alternate mouse monoclonal which binds rodent but not human peripherin, MCA-7C5, and a chicken polyclonal antibody, CPCA-Peri.
- Cell Type Marker
- Cytoskeletal Marker
- Developmental Marker
- Immunohistochemistry Verified
- Pathology Related Marker
- Rabbit Polyclonal Antibodies
Add a short description for this tabbed section
| Immunogen: | Full length recombinant human peripherin expressed in and purified from E. coli |
| HGNC Name: | PRPH |
| UniProt: | P41219 |
| Molecular Weight: | 57kDa |
| Host: | Rabbit |
| Species Cross-Reactivity: | Human, Rat, Mouse, Pig, Cow |
| RRID: | AB_2572375 |
| Format: | Serum plus 5mM NaN3 |
| Applications: | WB, IF/ICC, IHC |
| Recommended Dilutions: | WB: 1:1,000-1:2,000. IF/ICC and IHC: 1:2,000. |
| Storage: | Store at 4°C for short term, for longer term store at -20°C. Stable for 12 months from date of receipt. |
Peripherin is a ~57kDa intermediate filament subunit found initially in sensory neurons of the peripheral nervous systems, which gives the protein its name (1). Subsequently, peripherin was found in some sensory and other neurons of the central nervous system and also as a major cytoskeletal protein in rat pheochromacytoma PC12 cells (2,3). Peripherin is expressed in certain neuroendocrine cells and in the insulin producing cells of the pancreas, and autoantibodies to peripherin may be seen in diabetes mellitus (4). It is also prominently expressed in certain tumors and in the ballooned axons typical of amyotrophic lateral sclerosis (5,6). Different classes of neuron and nerve fiber may be identified based on their expression of peripherin, NF-L and other markers (e.g. 7). There are multiple transcripts from the single peripherin gene, some of which encode proteins which produce proteins unable to form intermediate filaments and which induce the formation of pathological inclusions (8,9). The production and characterization of an antibody similar to RPCA-Peri has been described (10). Note that the intermediate filament subunit peripherin (HGNC PRPH) is completely unrelated to peripherin/RDS (HGNC PRPH2), a retinal protein belonging to the tetraspanin family.

Chromogenic immunostaining of a NBF fixed paraffin embedded human spinal cord section with rabbit pAb to peripherin, RPCA-Peri, dilution 1:2,000 detected with DAB (brown) using the Vector Labs ImmPRESS method and reagents with citrate buffer retrieval. Hematoxylin (blue) was used as the counterstain. In this image, the RPCA-Peri antibody strongly labels the cytoplasm of peripheral nervous system neurons and axons. This antibody performs well in testing with 4% PFA and standard NBF fixed mouse, rat and human tissue. Mouse select image for larger view.

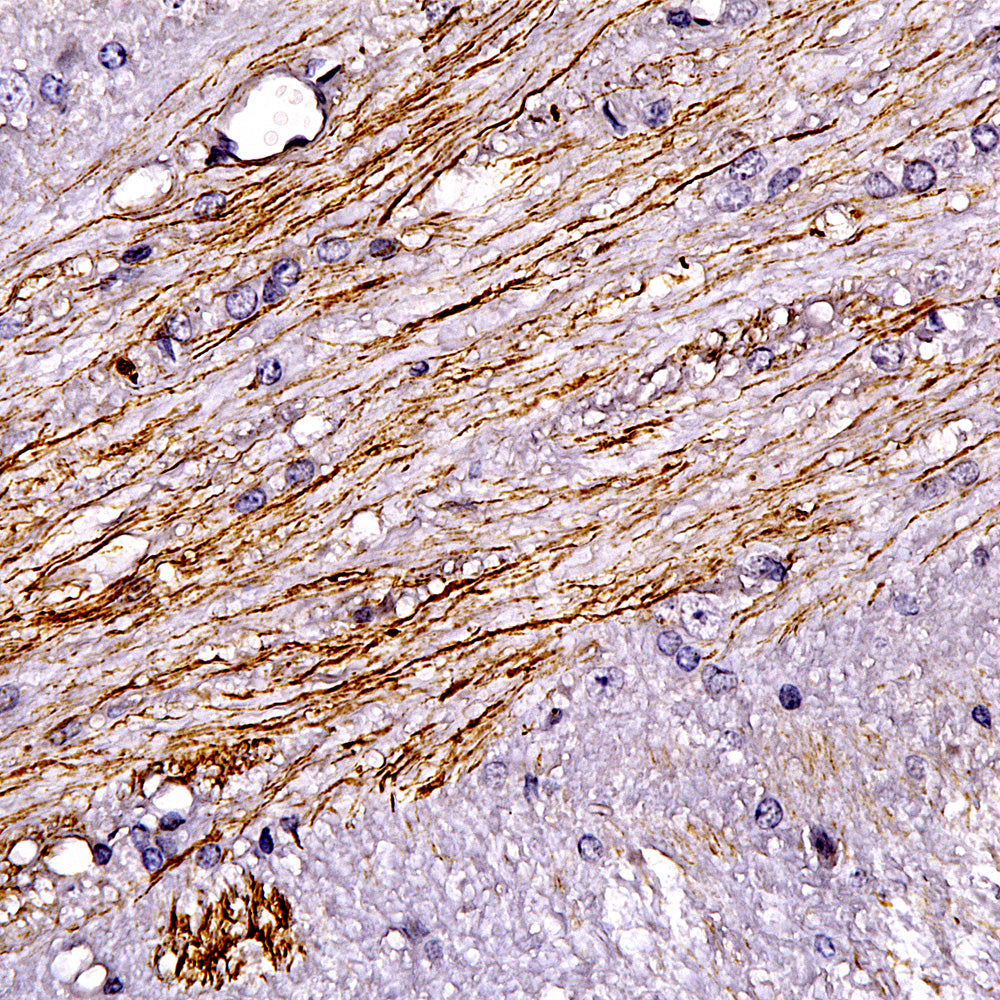
Chromogenic immunostaining of a 4% PFA fixed paraffin embedded rat midbrain section with rabbit pAb to peripherin, RPCA-Peri, dilution 1:2,000 detected with DAB (brown) using the Vector Labs ImmPRESS method and reagents with citrate buffer retrieval. Hematoxylin (blue) was used as the counterstain. In this image, the RPCA-Peri antibody strongly labels the cytoplasm of neuronal peripheral projections. This antibody performs well in testing with 4% PFA and standard NBF fixed mouse, rat and human tissue. Mouse select image for larger view.
1. Portier MM, de Néchaud B, Gros F. Peripherin, a new member of the intermediate filament protein family. Dev. Neurosci. 6:335-44 (1984).
2. Troy CM, Brown K, Greene LA, Shelanski ML. Ontogeny of the neuronal intermediate filament protein, peripherin, in the mouse embryo. Neuroscience 36:217-37 (1990).
3. Aletta JM, et al. Relationship between the nerve growth factor-regulated clone 73 gene product and the 58-kilodalton neuronal intermediate filament protein (peripherin). J. Neurochem 51:1317-20 (1988).
4. Puertas MC, et al. Peripherin Is a Relevant Neuroendocrine Autoantigen Recognized by Islet-Infiltrating B Lymphocytes. J. Immunol. 178:6533-9 (2007).
5. Migheli A, et al. Peripherin immunoreactive structures in amyotrophic lateral sclerosis. Lab. Invest. 68:185-91 (1993).
6. He CZ, Hays AP. Expression of peripherin in ubiquinated inclusions of amyotrophic lateral sclerosis. J. Neurol. Sci. 217:47-54 (2004).
7. Goldstein ME, House SB, Gainer H. NF‐L and peripherin immunoreactivities define distinct classes of rat sensory ganglion cells. J. Neurosci. Res. 30:92-104 (1991).
8. Landon F, et al. Multiple mRNAs encode peripherin, a neuronal intermediate filament protein. EMBO J. 8:1719-26 (1989).
9. Robertson J, et al. A neurotoxic peripherin splice variant in a mouse model of ALS. J. Cell Biol. 60:939-49 (2003).
10. Errante LD, Wiche G and Shaw G. Distribution of plectin, an intermediate filament-associated protein, in the adult rat central nervous system J. Neurosci. Res. 37:515-528 (1994).
Add a short description for this tabbed section
