EnCor Biotechnology
Mouse Monoclonal Antibody to Heat Shock Protein 27 (HSP27), Cat# MCA-6H11
Description
The MCA-6H11 antibody was made against full length recombinant HSP27 expressed in and purified from E. coli. This antibody binds to an epitope on the human molecule missing from the rat and mouse homologue, likely variable peptides in the N and C terminal of human HSP27. As a result it can be used to identify human cells in a background of rodent cells. The antibody works well for western blotting and for IF, ICC and IHC on human material (for IHC see data under "Additional Info" tab). We also supply a chicken polyclonal antibody, CPCA-HSP27, with similar properties, including the lack of recognition of the rodent HSP27. This suggests the existence of a potent human specific immunodominant epitope on human HSP27.
Add a short description for this tabbed section
| Immunogen: | Recombinant full length human HSP27 expressed in and purified from E. coli |
| HGNC Name: | HSBP1 |
| UniProt: | O75506 |
| Molecular Weight: | 27kDa |
| Host: | Mouse |
| Isotype: | IgG1 |
| Species Cross-Reactivity: | Human, unreactive on rodent |
| RRID: | AB_2572329 |
| Format: | Protein G affinity purified antibody at 1mg/mL in 50% PBS, 50% glycerol plus 5mM NaN3 |
| Applications: | WB, ICC/IF, IHC |
| Recommended Dilutions: | WB: 1:10,000. IF/ICC, and IHC: 1:1,000. |
| Storage: | Store at 4°C for short term, for longer term store at -20°C. Stable for 12 months from date of receipt. |
The heat shock proteins were discovered since they are heavily upregulated when cells are stressed by temperatures above the normal physiological range. They are expressed in unstressed cells also and have a normal function as chaperones, helping other proteins to fold correctly, but are required in much greater amounts if the cell or tissue is stressed by heat. Heat shock protein 27 (HSP27) is an abundant protein which functions as a chaperone but has many other functions. Upregulation of this protein is protective against neurodegenerative diseases at least in certain mouse models (1). Point mutations in the HSP27 gene are associated with two neurological diseases, Charcot-Marie-Tooth disease type 2F and distal hereditary motor neuropathy IIB (2). These diseases are associated with axonal loss apparently following defects in the transport of neurofilaments. HSP27 may bind cytoplamsic cytochrome c released from mitochondria which would otherwise normally activate the caspase apoptotic cascade (3). HSP27 is a major phosphoprotein of cells primarily under the influence of the p38/SAP kinase and JNK pathways (e.g. 4). HSP27 is implicated in several other aspects of cell signaling and response to cancer and other diseases (5-7). The amino acid sequence of HSP27 is relatively poorly conserved across species boundaries, so there are 159 amino acids identities between human, cow, rat and mouse HSP27, out of 204-209 amino acids. This variability results in some antibodies being species specific while others work across many species.

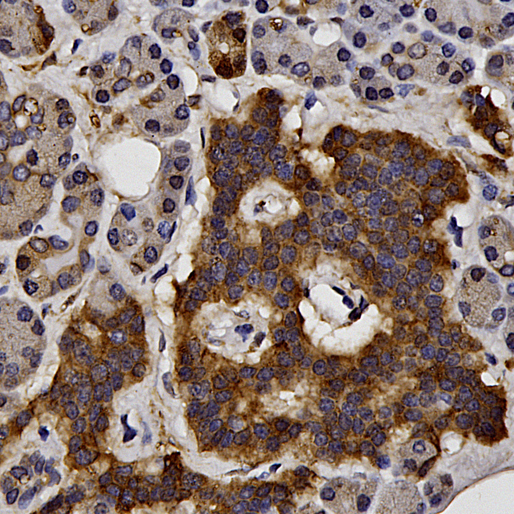
Chromogenic immunostaining of a formalin fixed paraffin embedded human pancreas section with mouse mAb to HSP 27, MCA-6H11, dilution 1:1,000, detected in DAB (brown) following the the Vector Labs ImmPRESS method and reagents with citrate buffer retrieval. Hematoxylin (blue) was used as the counterstain. The MCA-6H11 strongly labels the cytoplasm of endocrine glandular cells and endothelium. This antibody performs well in NBF fixed tissues but was not tested with 4%PFA fixation. Mouse select image for larger view.
1. Wyttenbach, A et al. Heat shock protein 27 prevents cellular polyglutamine toxicity and suppresses the increase of reactive oxygen species caused by huntingtin. Hum. Molec. Genet. 11:1137-51 (2002).
2. Evgrafov, OV et al. Mutant small heat-shock protein 27 causes axonal Charcot-Marie-Tooth disease and distal hereditary motor neuropathy. Nature Genet. 36:602-6 (2004).
3. Bruey J-M, et al. Hsp27 negatively regulates cell death by interacting with cytochrome c. Nat. Cell Biol. 2:645-52 (2000).
4. Guay J, et al. Regulation of actin filament dynamics by p38 map kinase-mediated phosphorylation of heat shock protein 27. J. Cell Sci. 110:357-68 (1997).
5. Ciocca DR et al. Biological and Clinical Implications of Heat Shock Protein 27000 (Hsp27): a Review. J. Natl. Cancer Inst. 85:1558-70 (1993).
6. Vidyasagar A, Wilson NA, Djamali A. Heat shock protein 27 (HSP27): biomarker of disease and therapeutic target. Fibrogen. Tiss. Repair 5:7 (2012).
7. Ciocca DR, Calderwood SK. Heat shock proteins in cancer: diagnostic, prognostic, predictive, and treatment implications. Cell Stress Chaperones 10:86-103 (2005).
Add a short description for this tabbed section
