EnCor Biotechnology
Mouse Monoclonal Antibody to Parvalbumin, Cat# MCA-3C9
Description
The MCA-3C9 antibody was made against full length recombinant human parvalbumin expressed in and purified from E. coli. Since parvalbumin is related in amino acid sequence to both calretinin and calbindin, we also expressed these proteins to check that our various reagents show no cross reactivity. So our antibodies to parvalbumin are useful cell type markers provided, as is the case with this antibody, they do no cross react with the related molecules calretinin or calbindin. The antibody works well for western blotting and for IF, ICC and IHC (for IHC see data under "Additional Data" tab). We also supply a chicken polyclonal antibody to parvalbumin, CPCA-Pvalb. EnCor also manufactures highly specific non cross-reactive antibodies to the related proteins calbindin and calretinin made is different species allowing double and triple labeling of appropriate cell and tissue samples.
Add a short description for this tabbed section
| Immunogen: | Full-length recombinant human protein expressed in and purified from E. coli. |
| HGNC Name: | PVALB |
| UniProt: | P20472 |
| Molecular Weight: | 12kDa |
| Host: | Mouse |
| Isotype: | IgG1 |
| Species Cross-Reactivity: | Human, Rat, Mouse, Cow, Pig, Horse |
| RRID: | AB_2572372 |
| Format: | Protein G affinity purified antibody at 1mg/mL in 50% PBS, 50% glycerol plus 5mM NaN3 |
| Applications: | WB, IF/ICC, IHC |
| Recommended Dilutions: | WB: 1:1,000-1:5,000. ICC/IF, and IHC: 1:1,000-1:5,000. |
| Storage: | Store at 4°C for short term, for longer term store at -20°C. Stable for 12 months from date of receipt. |
Parvalbumin is a low molecular weight cytoplasmic Calcium binding protein containing the “EF hand” Calcium binding motif and is the first protein characterized in this subclass (1). Parvalbumin is expressed in fast-contracting muscles, in the brain and in some endocrine tissues (2,3). In brain it is particularly concentrated in Purkinje cells and interneurons in the molecular layer, but is also found in many cortical GABAergic interneurons. These GABAergic interneurons in most cases express only one of three Calcium binding proteins, namely parvalbumin, calretinin or calbindin (4-6). Each type of interneuron has distinct electrophysiological properties and as a result, different types of interneuron can be identified and classified based on their content of these three proteins (7).

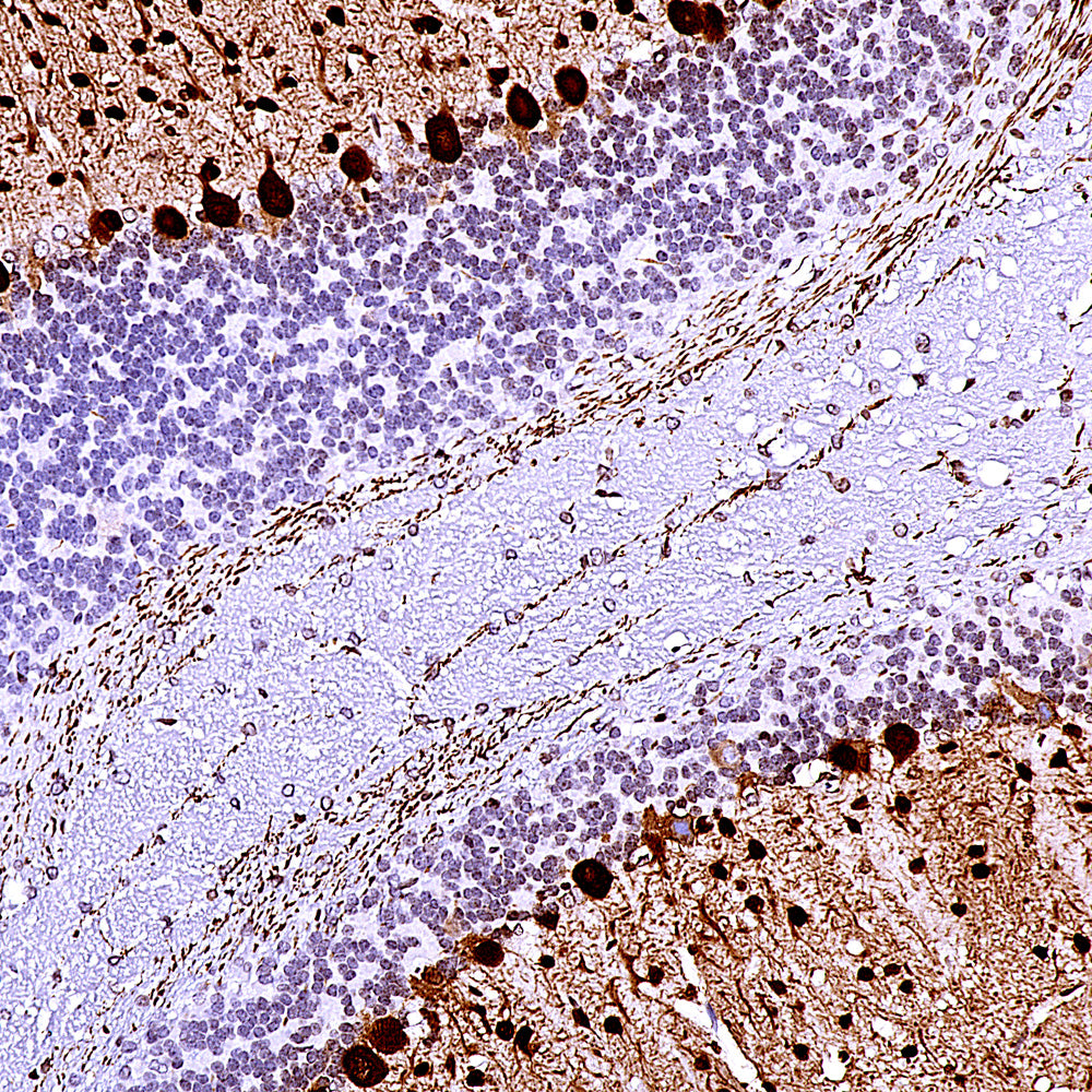
Chromogenic immunostaining of a 4% PFA fixed paraffin embedded rat cerebellum section with mouse mAb to parvalbumin, MCA-3C9, dilution 1:2,000, detected in DAB (brown) using the the the Vector Labs ImmPRESS method and reagents with citrate buffer retrieval. Hematoxylin (blue) was used as the counterstain. In the cerebellum, MCA-3C9 antibody strongly labels Purkinje cells, basket cells and Golgi cells. This antibody performs well in testing with 4% PFA or standard NBF fixed rat and human tissues. Mouse select image for larger view.

Immunofluorescent analysis of rat brain cerebellum section stained with mouse mAb to parvalbumin, MCA-3C9, dilution 1:1,000, in green, and costained with chicken pAb to calbindin, CPCA-Calb, dilution 1:2,000 in red. Following transcardial perfusion of rat with 4% paraformaldehyde, brain was post fixed for 24 hours, cut to 45μM, and free-floating sections were stained with above antibodies. Most Purkinje cells co-express parvalbumin and calbindin and so appear yellow, whereas basket, stellate and Golgi cells express parvalbumin only and so appear green. Mouse select image for larger view.
1. Kretsinger RH, Nockolds CE. Carp Muscle Calcium-binding Protein: II. Structure determination and general description. J. Biol. Chem. 248:3313-26 (1973).
2. Andressen C, Bliimcke I, Celio MR. Calcium-binding proteins: selective markers of nerve cells. Cell Tissue Res. 271:181-208 (1993).
3. Schwaller B, Meyer M, Schiffmann S. ‘New’ functions for ‘old’ proteins: The role of the calcium binding proteins calbindin D-28k, calretinin and parvalbumin, in cerebellar physiology. Studies with knockout mice. The Cerebellum 1:241–58 (2002).
4. Celio MR. Calbindin D-28k and parvalbumin in the rat nervous system. Neurosci. 35:375-475 (1990).
5. Condé F, et al. Local circuit neurons immunoreactive for calretinin, calbindin D‐28k or parvalbumin in monkey prefronatal cortex: Distribution and morphology. J. Comp. Neurol. 341:95-116 (1994).
6. Hof PR, et al. Cellular distribution of the calcium-binding proteins parvalbumin, calbindin, and calretinin in the neocortex of mammals: phylogenetic and developmental patterns. J. Chem. Neuroanat. 16:77-116 (1999).
7. Bearzatto B, et al. Mono- and dual-frequency fast cerebellar oscillation in mice lacking parvalbumin and/or calbindin D-28k. Eur. J. Neurosci. 22:861-70 (2005).
Add a short description for this tabbed section
