EnCor Biotechnology
Mouse Monoclonal Antibody to Nuclear Pore Complex, Cat# MCA-39C7
Description
The MCA-39C7 was made against a yeast nuclear preparation and proved to bind nuclear pore complexes by IF on yeast cells. When this antibody was tested on cells from other species, including rat, mouse and human cells, it has invariably strongly stained nuclear pore complexes, so it appears to bind to a highly conserved epitope and therefore to be an excellent and useful panspecific marker for these important structures. On western blots of mammalian cells it binds to a ~62kDa protein and some higher molecular weight bands. We are currently unsure of the exact identity of these proteins, and work is in progress to to identify them. We note that the Mab414 antibody described by Davis and Blobel has very similar properties, showing a specificity for nuclear pore complexes in IF and ICC (3). We are currently attempting to better characterize our MCA-39C7 antibody.
Add a short description for this tabbed section
| Immunogen: | Yeast nuclear preparations |
| Molecular Weight: | ~62kDa |
| Host: | Mouse |
| Isotype: | IgG1 |
| Species Cross-Reactivity: | Human, rat, mouse, cow, pig, horse, chicken, Drosophila, Caenorhabditis, Yeast |
| RRID: | AB_2186243 |
| Format: | Concentrated hybridoma cell culture media supernatant plus 5mM NaN3 |
| Applications: | WB, IF/ICC, IHC |
| Recommended Dilutions: | WB: 1:100. IF/ICC: 1:100-1:500 (yeast cells), 1:50-1:100 (mammalian cells). IHC: 1:2. |
| Storage: | Store at 4°C for short term, for longer term store at -20°C. Avoid freeze/thaw cycles. Stable for 12 months from date of receipt. |
Nuclear pores form a barrier between the nucleus and cytoplasm in eukaryotic cells allowing regulated inflow and egress of proteins and RNA. They are composed of a family of nuclear pore proteins called nucleoporins with about 30 members in humans (1,2). This monoclonal antibody was raised by injecting mice with crude yeast nuclear preparations and screening the resulting hybridomas by immunofluorescence on yeast cells. The MCA-39C7 clone produced antibody which was one of several which strongly and specifically labelled nuclear pore complexes. When this antibody was tested on cells from other species, including rat, mouse and human cells, it has invariably strongly stained nuclear pore complexes, so it appears to bind to a highly conserved epitope and there to be an excellent and useful panspecific marker for these important structures.

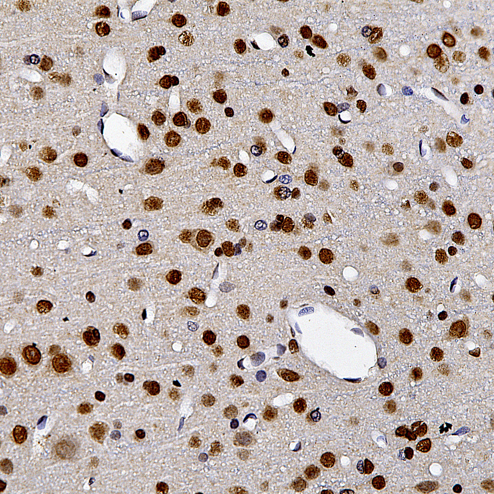
Chromogenic Immunostaining of a NBF fixed paraffin embedded human brain cortex section with mouse mAb to the nuclear pore complex, MCA-39C7 supernatant, dilution 1:2, detected with DAB (brown) using the the Vector Labs ImmPRESS method and reagents with citrate buffer retrieval. The nuclear pore complex antibody labels nuclei in a granular pattern that concentrates at the nuclear membrane. This antibody performs well in testing with both 4% PFA and standard NBF fixed tissues. Mouse select image for larger view.

Immunofluorescent analysis of rat brain section stained with mouse mAb to Panspecific Nuclear Pore Complex (PNPC), MCA-39C7, dilution 1:200 in red, and costained with chicken pAb to microtubule associated protein 2 (MAP2) CPCA-MAP2, dilution 1:3,000, in green. Following transcardial perfusion of rat with 4% paraformaldehyde, brain was post fixed for 24 hours, cut to 40μM, and free-floating sections were stained with above antibodies. MCA-39C7 antibody reveals strong granular staining of the nuclei while MAP2 antibody labels perikarya and dendrites of neuronal cells.
1. Cronshaw JM, et al. Proteomic analysis of the mammalian nuclear pore complex. J. Cell Biol.158:915-27 (2002).
2. Alber F, et al. The molecular architecture of the nuclear pore complex. Nature 450:695-701 (2007).
3. Davis LI, Blobel G. Identification and characterization of a nuclear pore complex protein. Cell 45:699-709 (1986).
Add a short description for this tabbed section
