EnCor Biotechnology
Mouse Monoclonal Antibody to Ankyrin 3/Ankyrin G, Cat# MCA-2A8
Description
The MCA-2A8 antibody was made against the C-terminal 398 amino acid of human ankyrin 3 isotype 1 in NP_066267.2. This segment is expressed by all ankyrin 3 isotypes and contains the DEATH domain sequence. This antibody works well on human and rat ankyrin 3 on western blots and sectioned material but not on mouse extracts and tissues. EnCor also supplies rabbit and chicken polyclonal antibodies to this protein, RPCA-ANK3 and CPCA-ANK3, which do work well on mouse material.
Add a short description for this tabbed section
| Immunogen: | The C-terminal 398 amino acids of human ankyrin 3 expressed in and purified from E. coli |
| HGNC Name: | ANK3 |
| UniProt: | Q12955 |
| Molecular Weight: | 480, 270, and 190kDa |
| Host: | Mouse |
| Isotype: | IgG1 |
| Species Cross-Reactivity: | Human, Rat |
| RRID: | AB_2737593 |
| Format: | Protein G affinity purified antibody at 1mg/mL in 50% PBS, 50% glycerol plus 5mM NaN3 |
| Applications: | WB, IF/ICC, IHC |
| Recommended Dilutions: | WB: 1:1,000-1:2,000. ICC/IF, and IHC: 1:1,000. |
| Storage: | Store at 4°C for short term, for longer term store at -20°C. Stable for 12 months from date of receipt. |
The first ankyrin protein was isolated from red blood cell membranes and was found to be responsible for anchoring the spectrin cytoskeleton to the plasma membrane. Subsequently this protein was named ankyrin 1 and a close homolog was named ankyrin 2, though the two proteins are also known as ankyrin R and ankyrin B, for erythrocyte and brain respectively (2). Both proteins are large at about 200kDa. A third member of the protein family was discovered and called ankyrin 3, also known as ankyrin G, some forms of which are much larger in molecular size, up to 480kDa. G refers to giant or general, as this protein is large and widely expressed (2). All three ankyrins have an N-terminal segment composed of 22 tandem repeats each of 33 amino acids which have been named ankyrin type repeats. A subset of these repeats are responsible for binding the ankyrin proteins to various membrane proteins, and repeats of this kind are found in many other proteins and generally mediate specific protein-protein interactions (3). The middle region of the molecules contain the spectrin binding activity and the C-terminal contains a DEATH domain and some other sequence which is variable between the three ankyrins. DEATH domains are involved in activating apoptotic pathways, and are found in many molecules of known apoptotic function such as the TNF receptor and Fas/Apo1 (4). The much larger size of ankyrin 3 is due to a sequence which may be inserted within this C-terminal region. The ankyrin 3 gene may produce a protein of 480kDa while other transcripts produce 270kDa and 190kDa proteins. Defects in the ankyrin gene are associated with various human disorders (5,6). Ankyrin 3 is expressed in the axon initial segment and the nodes of Ranvier in the nervous system so appropriate antibodies are useful to identify these regions (7). The function of ankyrin 3 appears to be to specifically localize channels and other cytoskeletal proteins at these regions.

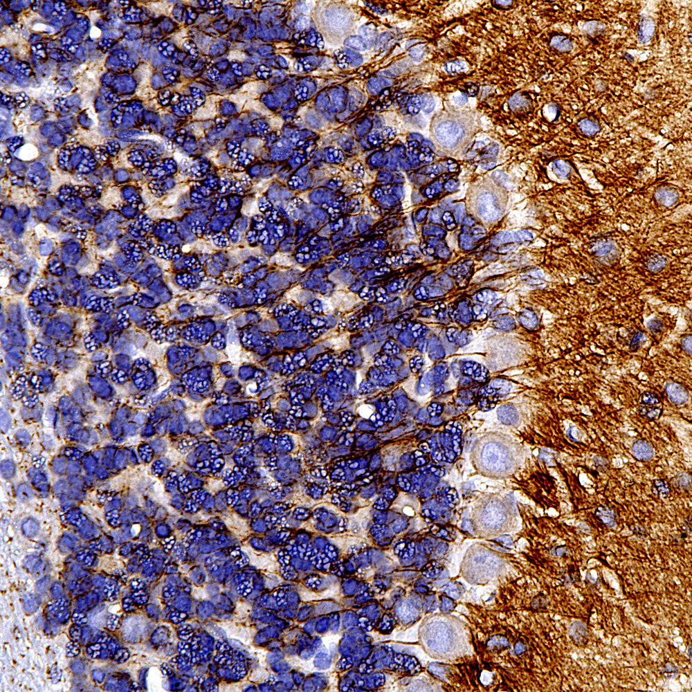
Chromogenic immunostaining of a 4% PFA fixed paraffin embedded rat hippocampus section with mouse mAb to ankyrin 3, MCA-2A8, dilution 1:1,000, detected in DAB (brown) using the the Vector Labs ImmPRESS method and reagents with citrate buffer retrieval. Hematoxylin (blue) was used as the counterstain. This antibody performs well in testing with both 4% PFA and standard NBF fixed tissues but does not stain long term NBF fixed tissue effectively. Mouse select image for larger view.

Immunofluorescent analysis of HEK293 cell culture stained with mouse mAb to ankyrin 3, MCA-2A8, dilution 1:2,000 in green. The blue is Hoechst staining of nuclear DNA. The MCA-2A8 antibody produces specific staining associated with the plasma membrane. Mouse select image for larger view.
1. Bennett, V. Adaptors between divese plasma membrane proteins and the cytoplasm. J. Biol. Chem. 287:8703-6 (1992).
2. Kordeli, E, Lambert, S, Bennett, V. AnkyrinG. J. Biol. Chem. 270:2352-9 (1995).
3. Mosavi LV, Cammett TJ, Desrosiers DC, Peng Z. The ankyrin repeat as molecular architecture for protein recognition. Protein Sci. 13:1435-48 (2004).
4. Feinstein E, et al. The death domain: a module shared by proteins with diverse cellular functions. Trends Biochem. Sci. 20:342-4 (1995).
5. Cunha SR, Mohler PJ. Ankyrin protein networks in membrane formation and stabilization. J. Cell Mol. Med. 13:4364-76 (2009).
6. Lopez AY, et al. Ankyrin-G isoform imbalance and interneuronopathy link epilepsy and bipolar disorder. Mol. Psychiatry 22:1464-72 (2017).
7. Alshammari MA, Alshammari TK, Laezza F. Improved Methods for Fluorescence Microscopy Detection of Macromolecules at the Axon Initial Segment. Front. Cell Neurosci. 2016 10:5 (2016).
Add a short description for this tabbed section
