EnCor Biotechnology
Mouse Monoclonal Antibody to Calbindin, Cat# MCA-4H7
Description
The MCA-4H7 antibody was made against full length recombinant human calbindin expressed in and purified from E. coli, EnCor product Prot-r-Calb1. We have shown that the antibody binds calbindin cleanly on western blots and in sections but fails to recognize the related calretinin and parvalbumin proteins. It is therefore ideally suited for identifying and subclassifying cortical GABAergic neurons. The antibody works well for western blotting and for IF, ICC and IHC (see data under "Additional Data" tab). EnCor manufactures an alternate mouse monoclonal antibody to calbindin MCA-5A9 and a chicken polyclonal to calbindin CPCA-Calb, allowing double and triple labeling of appropriate cell and tissue samples.
Add a short description for this tabbed section
| Immunogen: | Full-length recombinant human calbindin protein, EnCor product Prot-r-Calb1. expressed in and purified from E. coli. |
| HGNC Name: | CALB1 |
| UniProt: | P05937 |
| Molecular Weight: | 28kDa |
| Host: | Mouse |
| Isotype: | IgG1 |
| Species Cross-Reactivity: | Human, Rat, Mouse, Cow, Pig |
| RRID: | AB_2572238 |
| Format: | Protein G affinity purified antibody at 1mg/mL in 50% PBS, 50% glycerol plus 5mM NaN3 |
| Applications: | WB, IF/ICC, IHC |
| Recommended Dilutions: | WB: 1:1,000-1:5,000. IF/ICC, and IHC: 1:1,000-1:2,000. |
| Storage: | Store at 4°C for short term, for longer term store at -20°C. Stable for 12 months from date of receipt. |
Calbindin, also known as calbindin 1 or calbindin-D28k is a member of the large superfamily of cytoplasmic EF hand containing Calcium binding proteins and is expressed in the brain, intestine, kidney and pancreas (1-3). It is particularly concentrated in the dendrites and perikarya of cerebellar Purkinje cells, but is also found in many GABAergic interneurons in the cerebral cortex. These GABAergic interneurons in most cases express only one of three Calcium binding proteins, namely calbindin or parvalbumin or calretinin. As a result these important and physiologically distinct inhibitory interneurons can be identified and subclassified based on their content of these three proteins (4-6).

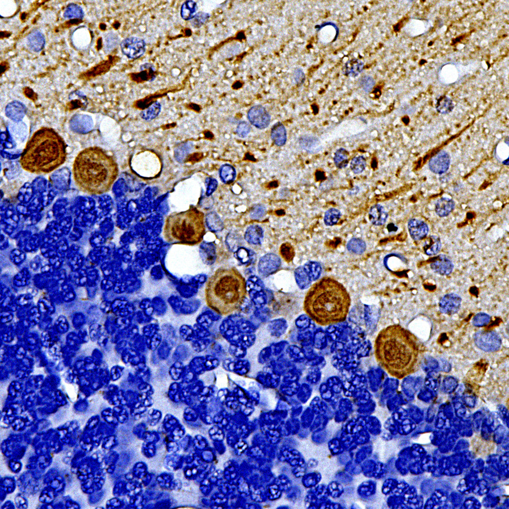
Chromogenic immunostaining of a formalin fixed paraffin embedded human cerebellum section with mouse mAb to Calbindin, MCA-4H7, dilution 1:2,000, detected with DAB (brown) following the the Vector Labs ImmPRESS method and reagents with citrate buffer retrieval. Hematoxylin (blue) was used as the counterstain. The MCA-4H7 antibody strongly labels the cytoplasm of Purkinje cells and their dendrites. This antibody performs well in testing with both 4% PFA and standard NBF fixed rat and human tissues. Mouse select image for larger view.

Immunofluorescent analysis of mouse brain cerebellum section stained with mouse mAb to Calbindin, MCA-4H7, dilution 1:1,000, in green, and costained with rabbit pAb to Calretinin, RPCA-Calretinin, dilution 1:5,000 in red. The blue is Hoechst staining of nuclear DNA. Following transcardial perfusion with 4% paraformaldehyde, brain was post fixed for 24 hours, cut to 40μM, and free-floating sections were stained with above antibodies. Calbindin antibody prominently labels the protein in dendrites and perikarya of Purkinje cells in the molecular layer of cerebellum. Calretinin antibody stains a different set of neurons and their processes.
1. Kretsinger RH, Nockolds CE. Carp Muscle Calcium-binding Protein: II. Structure determination and general description. J. Biol. Chem. 248:3313-26 (1973).
2. Andressen C, Bliimcke I, Celio MR. Calcium-binding proteins: selective markers of nerve cells. Cell Tissue Res. 271:181-208 (1993).
3. Schwaller B, Meyer M, Schiffmann S. ‘New’ functions for ‘old’ proteins: The role of the calcium binding proteins calbindin D-28k, calretinin and parvalbumin, in cerebellar physiology. Studies with knockout mice. The Cerebellum 1:241–58 (2002).
4. Celio MR. Calbindin D-28k and parvalbumin in the rat nervous system. Neurosci. 35:375-475 (1990).
5. Condé F, et al. Local circuit neurons immunoreactive for calretinin, calbindin D‐28k or parvalbumin in monkey prefronatal cortex: Distribution and morphology. J. Comp. Neurol. 341:95-116 (1994).
6. Hof PR, et al. Cellular distribution of the calcium-binding proteins parvalbumin, calbindin, and calretinin in the neocortex of mammals: phylogenetic and developmental patterns. J. Chem. Neuroanat. 16:77-116 (1999).
Add a short description for this tabbed section
