EnCor Biotechnology
Mouse Monoclonal Antibody to Galectin-3, Cat# MCA-5C21
Description
The MCA-5C21 antibody was made against full length human recombinant galectin 3 expressed in and purified from E. coli. The antibody works well for western blotting and for IF, ICC and IHC (see data under "Additional Data" tab). We also market a rabbit polyclonal antibody made against the same human galectin 3 immunogen, RPCA-GAL3.
Add a short description for this tabbed section
| Immunogen: | Full length recombinant human galectin 3 expressed in and purified from E. coli. |
| HGNC Name: | LGALS3 |
| UniProt: | P17931 |
| Molecular Weight: | 30kDa |
| Host: | Mouse |
| Isotype: | IgG1 |
| Species Cross-Reactivity: | Human, Rat, Mouse |
| RRID: | AB_2572283 |
| Format: | Protein G affinity purified antibody at 1mg/mL in 50% PBS, 50% glycerol plus 5mM NaN3 |
| Applications: | WB, IF/ICC, IHC |
| Recommended Dilutions: | WB:1:2,000. IF/ICC, and IHC: 1:1,000 |
| Storage: | Store at 4°C for short term, for longer term store at -20°C. Stable for 12 months from date of receipt. |
This protein has several names including macrophage galactose-specific lectin or MAC2, galactoside-binding protein or GALBP, or galectin 3 or gal 3. It is a highly conserved molecule about 30kDa in molecular weight. Galectin 3 is a member of a multigene family of 15 vertebrate lectins all of which share one or in some cases two “carbohydrate recognition domains” (CRD) which bind to β-galactoside, a sugar moiety found on many cell surface proteins (1-3). Galectin 3 is unusual in that it also includes, at the N terminus, multiple proline, tyrosine and glycine rich repeats which allow this molecule to oligomerize, so allowing high avidity binding to β-galactoside. Galectin 3 is a multifunctional protein which is expressed extracellularly, on the cell surface, on mitochondria, in the cytoplasm and in the nucleus, and appears to function both in specific carbohydrate binding and in the regulation of mRNA splicing (1,2). Much evidence suggests that Gal-3 has an important role in the regulation of inflammatory responses and fibrogenesis (4), and also, when over-expressed, may inhibit apoptosis (5). Galectin 3 is also overexpressed in hypertrophied failure prone hearts, and evidence suggests that macrophage derived galectin 3 causes ventricular dysfunction and other problems (6).

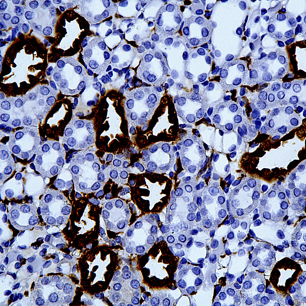
Chromogenic immunostaining of a 4% PFA fixed paraffin embedded rat kidney section with mouse mAb to galectin 3, MCA-5C21, dilution 1:1,000, detected with DAB (brown) using the the Vector Labs ImmPRESS method and reagents with citrate buffer retrieval. Hematoxylin (blue) was used as the counterstain. In kidney, the MCA-5C21 antibody strongly and specifically labels collecting ducts and distal tubules. This antibody performs well in testing with both 4% PFA and standard NBF fixed, rat and human tissues. Mouse select image for larger view.
1. Dumic J, Dabelic S, Flögel M. Galectin-3: An open-ended story. Biochim. Biophys. Acta. 1760:616-35 (2006).
2. Haudek KC, Patterson RJ, Wang JL. SR proteins and galectins: what's in a name? Glycobiology 20:1199-207 (2011).
3. Haudek KC, et al. Dynamics of galectin-3 in the nucleus and cytoplasm. Biochim. Biophys. Acta. 1800:181-9 (2011).
4. Henderson NC, Sethi T. The regulation of inflammation by galectin-3. Immunol. Revs. 230:160-71 (2009).
5. Yang YR, Hsu DK, Liu FT. Expression of galectin-3 modulates T-cell growth and apoptosis. PNAS 93:6737-42 (1996).
6. Sharma UC, et al. Galectin-3 marks activated macrophages in failure-prone hypertrophied hearts and contributes to cardiac dysfunction. Circulation 110:3121-8 (2004).
Add a short description for this tabbed section
