

EnCor Biotechnology
Mouse Monoclonal Antibody to Growth Associated Protein 43 (GAP43), Cat# MCA-5E8
Description
The MCA-5E8 antibody was made against the full length recombinant human protein and binds to GAP43 in human, rodents and other mammalian species. It binds strongly to growth cones and axonal processes of neurons in cell culture and to synaptic regions in sectioned material. The antibody works well for western blotting and for IF, ICC and IHC (see data under "Additional Info" tab). We supply an alternate mouse monoclonal antibody to GAP43 MCA-3H14 rabbit and chicken polyclonal antibodies to GAP43, RPCA-GAP43 and CPCA-GAP43 respectively.
- Cell Structure Marker
- Cell Type Marker
- Cytoskeletal Marker
- Immunohistochemistry Verified
- Mouse Monoclonal Antibodies
Add a short description for this tabbed section
Immunogen: | Recombinant full-length Human GAP43 expressed in and purified from E. coli |
HGNC Name: | GAP43 |
UniProt: | P17677 |
Molecular Weight: | 43kDa by SDS-PAGE |
Host: | Mouse |
Isotype: | IgG1 |
Species Cross-Reactivity: | Human, rat, mouse |
RRID: | AB_2572287 |
Format: | Protein G affinity purified antibody at 1mg/mL in 50% PBS, 50% glycerol plus 5mM NaN3 |
Applications: | WB, ICC/IF, IHC |
Recommended Dilutions: | WB: 1:1,000-5,000 IF/ICC, and IHC: 1:1,000-2,000. |
Storage: | Store at 4°C for short term, for longer term store at -20°C. Stable for 12 months from date of receipt. |
GAP43 is an abundant protein which is found heavily concentrated in developing neurons, in particular at the growing tips, the growth cones. One group discovered it since it becomes unregulated during the regeneration of the toad optic nerve, and named it "growth associated protein 43", the 43 referring to the apparent molecular weight on SDS-PAGE gels (1). GAP43 is very highly charged and does not run on SDS-PAGE in a fashion which accurately reflects its molecular weight, since human GAP43 is 238 amino acids giving a real molecular weight 24.8kDa. The same GAP43 preparation will also give a different SDS-PAGE molecular weight depending on the percentage acrylamide content of the gel, the protein appearing relatively larger on gels with higher acrylamide concentration. GAP43 proteins from different species also may run at different apparent molecular weights on the same gel. GAP43 was independently discovered by several different groups and therefore has several alternate names, such as protein F1, pp46, neuromodulin, neural phosphoprotein B-50 and calmodulin-binding protein P-57, the numbers 46, 50 and 57 reflecting the apparent SDS-PAGE molecular weight (2). GAP43 is a major protein kinase C substrate and binds calmodulin avidly, this being mediated by an N-terminal IQ calmodulin binding motif (3). GAP43 may be anchored to the plasma membrane by reversible palmitoylation on two Cys residues close to the N-terminus (4). Knock out of the GAP43 gene in mice is lethal early in postnatal life and is associated with defects in axonal pathfinding (5). GAP43 is one of a large family of "intrinsically disordered proteins" which typically have little defined structure unless they are bound to a more structured partner (6).
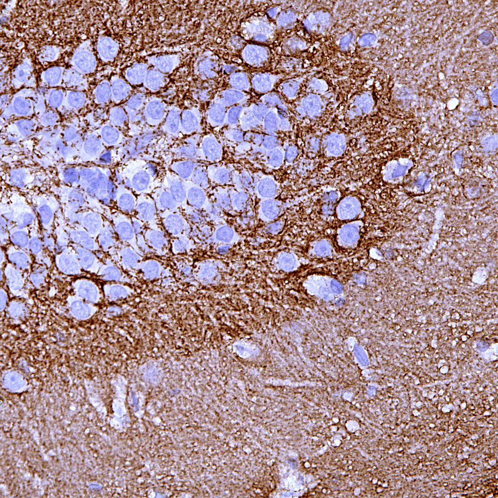
Chromogenic immunostaining of a formalin fixed paraffin embedded rat cerebellum section with mouse mAb to GAP43, MCA-5E8, dilution 1:2,000, detected with DAB (brown) using the Vector Labs ImmPRESS method and reagents with citrate buffer retrieval. Hematoxylin (blue) was used as the counterstain. The GAP43 antibody labels neuronal membranes (and to a lesser degree reactive glial cells) and is concentrated in axon terminals. This antibody performs well in testing with 4% PFA or standard NBF fixed human and rat tissue. Mouse select image for larger view.
1. Skene JH, Willard M. Changes in axonally transported proteins during axon regeneration in toad retinal ganglion cells.J. Cell Biol. 89:86-95 (1981).
2. Benowitz LI, Routtenberg A. GAP-43: an intrinsic determinant of neuronal development and plasticity. Trends Neurosci. 20:84-91 (1997).
3. Kosik KS, et al. Human GAP-43: its deduced amino acid sequence and chromosomal localization in mouse and human. Neuron 1:137-32 (1988).
4. Gauthier-Kempera A, et al. Interplay between phosphorylation and palmitoylation mediates plasma membrane targeting and sorting of GAP43. Mol Biol Cell. 25:3284-99 (2014).
5. Strittmatter SM, et al. Neuronal pathfinding is abnormal in mice lacking the neuronal growth cone protein GAP-43. Cell 80:445-52 (1995).
6. Wright PE. Dyson HJ. Intrinsically disordered proteins in cellular signalling and regulation. Nat. Rev. Mol. Cell Biol. 16:18-29 (2015).
Add a short description for this tabbed section