EnCor Biotechnology
Mouse Monoclonal Antibody to Ki67-Human (Ki-67), Cat# MCA-6B4
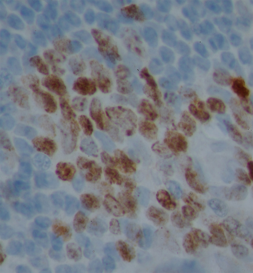
Description
The MCA-6B4 monoclonal antibody was raised against a recombinant construct containing the second, third and fourth of the sixteen ~110 amino acid Ki67 sequence repeats of human Ki67 isotype 1, as laid out in the Uniprot entry P46013, corresponding to amino acids 1,111-1,490. The Ki67 protein sequence is quite variable across species boundaries, and therefore antibody to the human protein often fails to recognize the rodent homologue and vice versa. As a result this antibody is not recommended for studies of rodents. We also made another mouse monoclonal antibodies to human Ki67, MCA-6G3 and a rabbit polyclonal RPCA-KI67. We also generated antibodies against rodent Ki67, MCA-5F86 and RPCA-KI67-Ro
Add a short description for this tabbed section
| Name: | Ki67, mouse monoclonal, Cat# MCA-6B4 |
| Immunogen: | Recombinant construct containing the 2nd, 3rd and 4th Ki67 repeats of the human sequence (amino acids 1,111-1,490) expressed in and purified from E. coli. |
| HGNC Name: | MKI67 |
| UniProt: | P46013 |
| Molecular Weight: | 345kDa, 395kDa |
| Host: | Mouse |
| Isotype: | IgG1 |
| Species Cross-Reactivity: | Human, no reactivity with rat or mouse |
| RRID: | AB_2637051 |
| Format: | Protein G affinity purified antibody at 1mg/mL in 50% PBS, 50% glycerol plus 5mM NaN3 |
| Applications: | WB, IF/ICC |
| Recommended Dilutions: | WB: 1:1,000-5,000. IF: 1:2,000-5,000. |
| Storage: | Store at 4°C for short term, for longer term store at -20°C. Stable for 12 months from date of receipt. |
The Ki67 protein was first discovered in an attempt to generate cancer specific monoclonal antibodies. Mice were injected with nuclear preparations from Hodgkin's lymphoma cells. One hybridoma produced an antibody which strongly stained the nucleoli of dividing but not quiescent cells. The antibody was named Ki67; the name was derived of Kiel, Germany which was where the work was performed, and the number 67 was the well number in which hybridoma was first identified (1). The original Ki-67 antibody recognizes a very large protein with two isoforms of 345kDa and 395kDa. Western blots often show a ladder of smaller fragments of these isoforms since the proteins are rather unstable, consistent with their short in vivo half-life of about 1 hour. The two Ki67 proteins were found to be heavily expressed in proliferating cells, but to be absent in quiescent cells (2). The presence of the Ki67 protein is frequently used as an indicator of cell proliferation and its level of expression is one of the most reliable biomarkers of proliferative status of cancer cells. Much research shows a correlation between Ki67 protein level and prognosis in cancer patients, when high Ki67 levels being associated with poorer outcomes (3-5). The original Ki-67 antibody and several others have become so widely used that a search for “Ki67” in PubMed in April 2017 produced almost 23,000 results. Recent studies show that Ki67 functions as a “biological surfactant”, which is essential for the separation of condensed chromosomal DNA into the two daughter cells during cell division (6). This presumably explains the highly basic nature of Ki67, allowing a charge-based interaction with nucleic acids, and the lack of this protein in non-dividing cells.
EnCor mouse monoclonal antibody Ki67 (MCA-6B4) was raised against a recombinant construct containing the second, third and fourth of the sixteen ~110 amino acid Ki-67 sequence repeats of human Ki67 isotype 1, as laid out in the Uniprot entry P46013, corresponding to amino acids 1,111-1,490. The Ki67 protein sequence is quite variable across species, and therefore antibody to the human protein often fails to recognize the rodent homologue and vice versa. As a result this antibody is not recommended for studies of rodents.
This product is not recommended for use on rodent tissues: The Ki67 protein sequence is rather poorly conserved across species boundaries so antibodies raised against the human form, like this one, are often unreactive with the rodent form.
1. Gerdes J, Schwab U, Lemke H, Stein H. Production of a mouse monoclonal antibody reactive with a human nuclear antigen associated with cell proliferation. Int. J. Cancer 31:13-20 (1983).
2. Kill IR, Faragher RGA, Lawrence K. Shall S. The expression of proliferation-dependent antigens during the lifespan of normal and progeroid human fibroblasts in culture. J. Cell Sci. 107:571-9 (1994).
3. Yerushalmi R, et al. Ki67 in breast cancer: Prognostic and predictive potential. Lancet Oncol. 11:174–83 (2010).
4. Josefsson A, et al. Low endoglin vascular density and Ki67 index in Gleason score 6 tumours may identify prostate cancer patients suitable for surveillance. Scand. J. Urol. Nephrol. 46:247–57 (2012).
5. Ishihara M, et al. Retrospective analysis of risk factors for central nervous system metastases in operable breast cancer: effects of biologic subtype and Ki67 overexpression on survival. Oncology. 84:135–140 (2013).
6. Cheang MC, et al. Ki67 Index, HER2 Status, and Prognosis of Patients With Luminal B Breast Cancer. J. Natl. Cancer Inst. 101:736-50 (2009).
7. Margulis V, et al. Multi-institutional validation of the predictive value of Ki-67 labeling index in patients with urinary bladder cancer. J. Natl. Cancer Inst. 101:114-9 (2009).
8. Cuylen S, et al. Ki-67 acts as a biological surfactant to disperse mitotic chromosomes. Nature. 535:308-12 (2016).
Add a short description for this tabbed section
