EnCor Biotechnology
Mouse Monoclonal Antibody to Peripherin, Cat# MCA-8G2
Description
The MCA-8G2 antibody was made against full length recombinant rat peripherin expressed in and purified from E. coli. The antibody works well for western blotting and for IF, ICC and IHC (for IHC see data under "Additional Data" tab). It has been used in numerous studies, resulting in many peer reviewed publications, see the here. We also manufacture a rabbit and chicken polyclonal antibodies to the same immunogen, RPCA-Peri and CPCA-Peri. Finally we have made a mouse monoclonal antibody to peripherin which recognizes rodent but not human peripherin, MCA-7C5.
- Cell Structure Marker
- Cell Type Marker
- Cytoskeletal Marker
- Developmental Marker
- Immunohistochemistry Verified
- Mouse Monoclonal Antibodies
- Pathology Related Marker
Add a short description for this tabbed section
| Immunogen: | Full length recombinant rat peripherin expressed in and purified from E. coli. |
| HGNC Name: | PRPH |
| UniProt: | P41219 |
| Molecular Weight: | ~57kDa |
| Host: | Mouse |
| Isotype: | IgG1 |
| Species Cross-Reactivity: | Human, rat, mouse, cow, pig |
| RRID: | AB_2572373 |
| Format: | Protein G affinity purified antibody at 1mg/mL in 50% PBS, 50% glycerol plus 5mM NaN3 |
| Applications: | WB, IF/ICC, IHC |
| Recommended Dilutions: | WB: 1:2,000-1:5,000. IF/ICC: 1:2,000. IHC: 1:1,000-1:2,000. |
| Storage: | Store at 4°C for short term, for longer term store at -20°C. Stable for 12 months from date of receipt. |
Peripherin is a ~57kDa intermediate filament subunit found initially in sensory neurons of the peripheral nervous systems, which gives the protein its name (1). Subsequently, peripherin was found in some sensory and other neurons of the central nervous system and also as a major cytoskeletal protein in rat pheochromacytoma PC12 cells (2,3). Peripherin is expressed in certain neuroendocrine cells and in the insulin producing cells of the pancreas, and autoantibodies to peripherin may be seen in diabetes mellitus (4). It is also prominently expressed in certain tumors and in the ballooned axons typical of amyotrophic lateral sclerosis (5,6). Different classes of neuron and nerve fiber may be identified based on their expression of peripherin, NF-L and other markers (e.g. 7). There are multiple transcripts from the single peripherin gene, some of which encode proteins which produce proteins unable to form intermediate filaments and which induce the formation of pathological inclusions (8,9). Note that the intermediate filament subunit peripherin (HGNC PRPH) is completely unrelated to peripherin/RDS (HGNC PRPH2), a retinal protein belonging to the tetraspanin family.

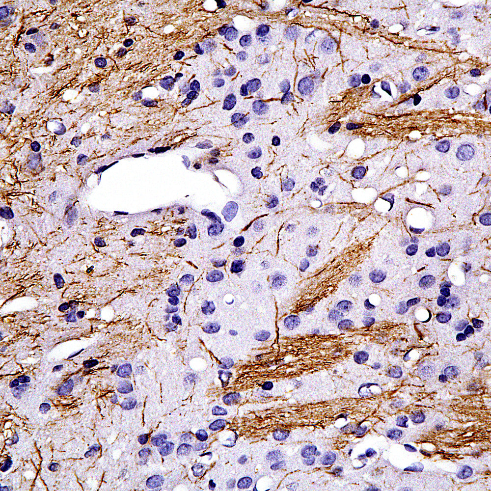
Chromogenic Immunostaining of a 4% PFA fixed paraffin embedded rat brain stem section with mouse mAb to peripherin, MCA-8G2, dilution 1:1,000, detected with DAB (brown) using the the Vector Labs ImmPRESS method and reagents with citrate buffer retrieval. Hematoxylin (blue) was used as the counterstain. In the central nervous system, peripherin labels the cytoplasm of a specific subset of neurons within the brain stem expected to have projections towards the periphery. This antibody performs well in testing with both 4% PFA and standard NBF fixed rat and human tissues. Mouse select image for larger view.
Additional References
1. Fasani F, et al. The amount of neurofilaments aggregated in the cell body is controlled by their increased sensitivity to trypsin-like proteases. J. Cell Sci. 117:861-9 (2004).
2. Larivière RC, Nguyen MD, Ribeiro-da-Silva A, Julien JP. Reduced number of unmyelinated sensory axons in peripherin null mice. J. Neurochem. 81:525-32 (2002).
3. Chien CL. Lee TH, Lu KS. Distribution of neuronal intermediate filament proteins in the developing mouse olfactory system. J. Neurosci. Res. 54:353-63 (1998).
1. Portier MM, de Néchaud B, Gros F. Peripherin, a new member of the intermediate filament protein family. Dev. Neurosci. 6:335-44 (1984).
2. Troy CM, Brown K, Greene LA, Shelanski ML. Ontogeny of the neuronal intermediate filament protein, peripherin, in the mouse embryo. Neuroscience 36:217-37 (1990).
3. Aletta JM, et al. Relationship between the nerve growth factor-regulated clone 73 gene product and the 58-kilodalton neuronal intermediate filament protein (peripherin). J. Neurochem 51:1317-20 (1988).
4. Puertas MC, et al. Peripherin Is a Relevant Neuroendocrine Autoantigen Recognized by Islet-Infiltrating B Lymphocytes. J. Immunol. 178:6533-9 (2007).
5. Migheli A, et al. Peripherin immunoreactive structures in amyotrophic lateral sclerosis. Lab. Invest. 68:185-91 (1993).
6. He CZ, Hays AP. Expression of peripherin in ubiquinated inclusions of amyotrophic lateral sclerosis. J. Neurol. Sci. 217:47-54 (2004).
7. Goldstein ME, House SB, Gainer H. NF‐L and peripherin immunoreactivities define distinct classes of rat sensory ganglion cells. J. Neurosci. Res. 30:92-104 (1991).
8. Landon F, et al. Multiple mRNAs encode peripherin, a neuronal intermediate filament protein. EMBO J. 8:1719-26 (1989).
9. Robertson J, et al. A neurotoxic peripherin splice variant in a mouse model of ALS. J. Cell Biol. 60:939-49 (2003).
This antibody was generated by EnCor scientists and has been supplied by EnCor and numerous other vendors for many years. It has been used in numerous studies, resulting in many peer reviewed publications, see the result of a Google Scholar search for "peripherin AND 8G2" here.
Add a short description for this tabbed section
