EnCor Biotechnology
Mouse Monoclonal Antibody to Ki67-Rodent (Ki-67), Cat# MCA-5F86
Description
The MCA-5F86 was made against a recombinant construct including amino the acids 956-1,322 of the mouse sequence XP_006507475.1, a region corresponding to 2nd, 3rd and 4th Ki67 type repeats. Since the Ki67 protein is relatively poorly conserved in amino acid sequence, this antibody is not recommended for use on human tissues, for which our RPCA-Ki67 antibody, made against the human protein, would be superior. Note that the Ki67 proteins are very unstable and only expressed in large amounts in situations where many cells are dividing. As a result of the very short half life of Ki67 there are usually numerous proteolytic fragments visible on western blots running below the major 395kDa and 345kDa bands. We also generated a rabbit polyclonal antibody to rodent Ki67 RPCA-KI67-Ro. We also made mouse monoclonal antibodies to human Ki67 MCA-6B4 and MCA-6G3.
- Cell Structure Marker
- Immunohistochemistry Verified
- Mouse Monoclonal Antibodies
- Pathology Related Marker
Add a short description for this tabbed section
| Immunogen: | Recombinant construct containing amino acids 956-1322 of the mouse sequence XP_006507475 expressed in and purified from E. coli. |
| HGNC Name: | MKI67 |
| UniProt: | E9PVX6 |
| Molecular Weight: | 345kDa, 395kDa |
| Host: | Mouse |
| Isotype: | IgG1 |
| Species Cross-Reactivity: | Rat, Mouse |
| RRID: | AB_2861220 |
| Format: | Protein G affinity purified antibody at 1mg/mL in 50% PBS, 50% glycerol plus 5mM NaN3 |
| Applications: | WB, IF/ICC, IHC |
| Recommended Dilutions: | WB: 1:1,000-2,000. IF 1:2,000-5,000, IHC 1:1,000. |
| Storage: | Store at 4°C for short term, for longer term store at -20°C. Stable for 12 months from date of receipt. |
The Ki67 protein was first discovered when researchers attempted to generate cancer cell specific monoclonal antibodies by injecting mice with nuclear preparations from Hodgkin's lymphoma cells (1). They obtained a monoclonal antibody which recognized two large proteins of apparent molecular weight 345kDa and 395kDa. The clone was named Ki67 after Kiel, Germany where the original work was done and the number of the 96 well plate in which the clone was found. The two proteins were found to be heavily expressed in proliferating cells, but to be absent in quiescent cells, and later work showed that they were the product of a single gene. The presence of the Ki67 protein is frequently used as an indicator of cell proliferation and its level of expression is one of the most reliable biomarkers of proliferative status of cancer cells (2-5). Much research shows a correlation between Ki67 protein level and prognosis in cancer patients, when high Ki67 levels being associated with poorer outcomes (e.g. 6,7). The original Ki67 antibody and several others have become so widely used that a search for “(Ki67 or Ki-67) and antibody” in PubMed in August 2018 produced over 5,600 results. Recent studies show that Ki67 functions as a “biological surfactant”, which is essential for the fidelity of separation of condensed chromosomal DNA into the two daughter cells during cell division (8). This presumably explains the highly basic nature of Ki67, allowing a charge-based interaction with nucleic acids, the lack of this protein in non-dividing cells and the relative lack of protein sequence conservation.

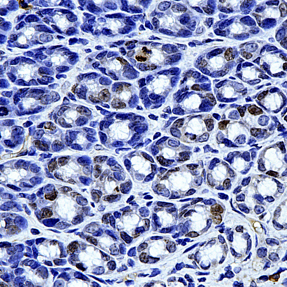
Chromogenic immunostaining of a 4%.PFA fixed paraffin embedded rat testes section with mouse mAb to Ki67, MCA-5F86, dilution 1:2,000, detected with DAB (brown) using the Vector Labs ImmPRESS method and reagents with citra buffer retrieval. Hematoxylin (blue) was used as the counterstain. In testes, the MCA-5F86 antibody strongly labels the nuclei of spermatogenic cells. Both rat and mouse tissues with abundant dividing cells stain effectively with MCA-5F86. Mouse select image for larger view.
1. Gerdes J, Schwab U, Lemke H, Stein H. Production of a mouse monoclonal antibody reactive with a human nuclear antigen associated with cell proliferation. Int. J. Cancer 31:13-20 (1983).
2. Kill IR, Faragher RGA, Lawrence K. Shall S. The expression of proliferation-dependent antigens during the lifespan of normal and progeroid human fibroblasts in culture. J. Cell Sci. 107:571-9 (1994).
3. Yerushalmi R, et al. Ki67 in breast cancer: Prognostic and predictive potential. Lancet Oncol. 11:174–83 (2010).
4. Josefsson A, et al. Low endoglin vascular density and Ki67 index in Gleason score 6 tumours may identify prostate cancer patients suitable for surveillance. Scand. J. Urol. Nephrol. 46:247–57 (2012).
5. Ishihara M, et al. Retrospective analysis of risk factors for central nervous system metastases in operable breast cancer: effects of biologic subtype and Ki67 overexpression on survival. Oncology. 84:135–140 (2013).
6. Cheang MC, et al. Ki67 Index, HER2 Status, and Prognosis of Patients With Luminal B Breast Cancer. J. Natl. Cancer Inst. 101:736-50 (2009).
7. Margulis V, et al. Multi-institutional validation of the predictive value of Ki-67 labeling index in patients with urinary bladder cancer. J. Natl. Cancer Inst. 101:114-9 (2009).
8. Cuylen S, et al. Ki-67 acts as a biological surfactant to disperse mitotic chromosomes.Nature. 535:308-12 (2016).
Add a short description for this tabbed section
