EnCor Biotechnology

Mouse Monoclonal Antibody to Ubiquilin 2, Cat# MCA-6H9

$250.00
Description

      The MCA-6H9 antibody was made against full length recombinant human Ubiquilin 2. It can be used to track this protein by ELISA, on western blots and for IF, ICC and IHC (for IHC see data under "Additional Data" tab). A partial characterization of this antibody is described in a peer reviewed publication showing that ubiquilin 2 accumulations are seen on the inclusions of both Huntington's disease mouse models and patients (8). This publication shows that MCA-6H9 has little or no cross reactivity to the closely related ubiquilin 1.

Collections:
Amount: 100µL of 1mg/mL
Amount: 100µL of 1mg/mL
Immunofluorescent analysis of an NIH-3T3 cell culture stained with mouse mAb to ubiquilin 2, MCA-6H9, dilution 1:1,000 in green, and costained with chicken pAb to lamin A/C, CPCA-Lamin A/C dilution 1:5,000 in red. The blue is DAPI staining of nuclear DNA. The cells were treated with 50µM of chloroquine, an inhibitor of autophagy, for 16 hours prior to staining. The MCA-6H9 antibody reveals punctate staining of ubiquilin 2 protein accumulated in lysosomes in the cytoplasm, while the lamin A/C antibody stains the nuclear lamina.
Western blot analysis of different tissue and cell lysates using mouse mAb to ubiquilin 2, MCA-6H9, dilution 1:1,000 in green: [1] protein standard (red), [2] NIH-3T3, [3] C6, [4] HEK293, [5] HeLa, [6] SH-SY5Y, [7] rat whole brain, and [8] mouse whole brain. The band at 65-70kDa corresponds to ubiquilin 2 protein, which is known to differ between the human and rodent proteins.

Add a short description for this tabbed section

Immunogen: Full length recombinant human ubiquilin 2 expressed in and purified from E. coli
HGNC Name: UBQLN2
UniProt: Q9UHD9
Molecular Weight: 66-68 kDa
Host: Mouse
Isotype: IgG1
Species Cross-Reactivity: Human, Rat, Mouse
RRID: AB_2572390
Format: Protein G affinity purified antibody at 1mg/mL in 50% PBS, 50% glycerol plus 5mM NaN3
Applications: WB, IF/ICC, IHC
Recommended Dilutions: WB: 1:1,000-1:2,000. IF/ICC, and IHC: 1:1,000.
Storage: Store at 4°C for short term, for longer term store at -20°C. Stable for 12 months from date of receipt.

      Ubiquilin 2, also known as PLIC2 and Chap1, is one of 4 members of the ubiquilin protein family, which regulate the degradation of cellular proteins through proteasome or autophage-like pathways (1-3). All ubiquilins contain an N-terminal ubiquitin-like (UBL) domain and a C-terminal ubiquitin-associated (UBA) domain, while the central part of the molecules are highly variable. The UBL domains bind subunits of the proteasome, and the UBA domains binds to polyubiquitin chains that are typically conjugated onto proteins marked for proteosomal degradation. Mutations in the ubiquilin 2 gene leading to protein point mutations are implicated in certain forms of amyotrophic lateral sclerosis (ALS) and Frontotemporal lobar degeneration (FTLD) (4). Increased length of GC rich hexanucleotide repeats in a non-coding region of the C9orf72 gene is the most common known genetic defect seen in patients suffering from ALS and FTLD (5,6). These patients have a distinct ubiquilin 2 pathology (7).



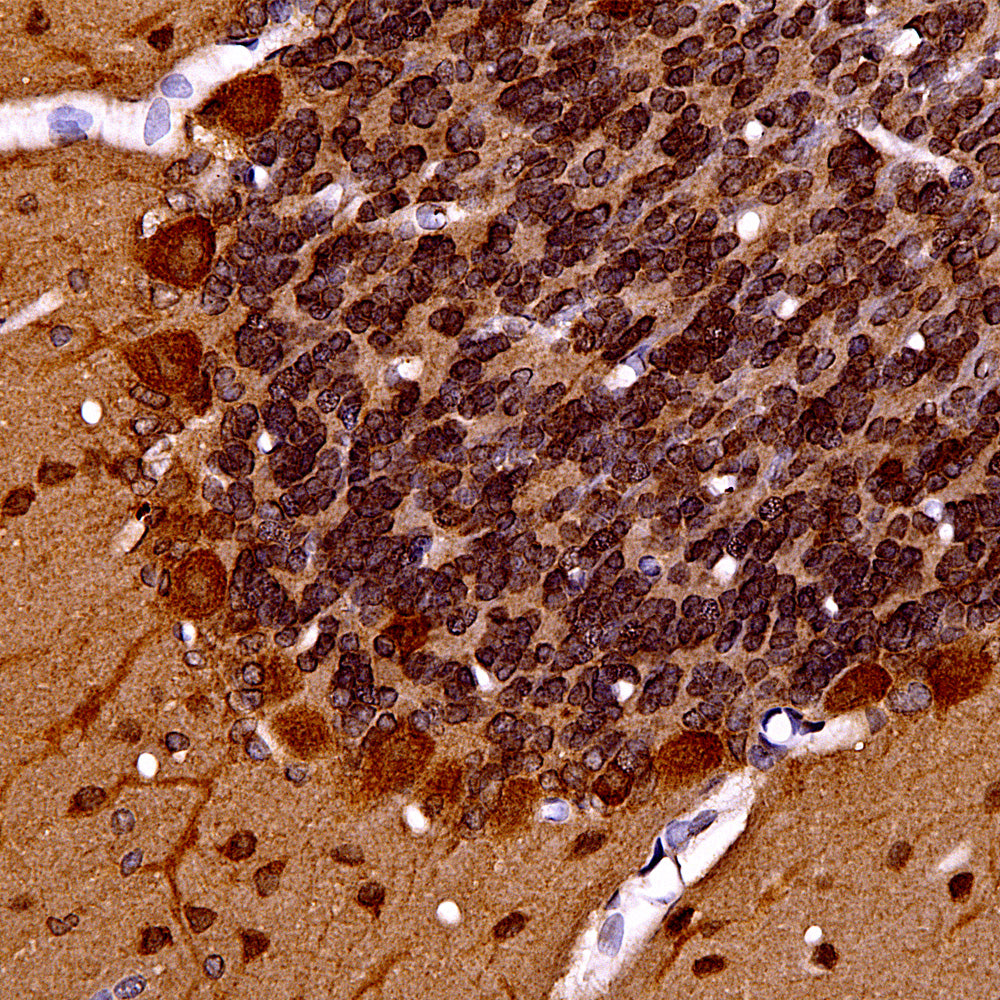
Chromogenic immunostaining of a 4% PFA fixed paraffin embedded rat hippocampus section with mouse mAb to ubiquilin 2, MCA-6H9, dilution 1:1,000, detected with DAB (brown) using the the Vector Labs ImmPRESS method and reagents with citrate buffer retrieval. Hematoxylin (blue) was used as the counterstain. MCA-6H9 labels cytoplasm, membrane and nuclei in neuronal and glial cell types. This antibody performs well in testing with both 4% PFA and standard NBF fixed rat and human tissues. Mouse select image for larger view.

1. Kleijnen MF, et al. The hPLIC proteins may provide a link between the ubiquitination machinery and the proteasome. Molec. Cell 6:409-19 (2000).
2. N’Diaye EN, et al. PLIC proteins or ubiquilins regulate autophagy-dependent cell survival during nutrient starvation. EMBO Rep. 10:173-9 (2009).
3. Rothenberg C, et al. Ubiquilin functions in autophagy and is degraded by chaperone-mediated autophagy. Hum. Mol. Genet. 19:3219-32 (2010).
4. Deng HX, et al. Mutations in UBQLN2 cause dominant X-linked juvenile and adult-onset ALS and ALS/dementia. Nature Aug 21;477(7363):211-5 (2011).
5. Renton AE, et al. Hexanucleotide repeat expansion in C9ORF72 is the cause of chromosome 9p21-linked ALS-FTD. Neuron 72:257-68 (2011).
6. DeJesus-Hernandez M, et al. Expanded GGGGCC hexanucleotide repeat in noncoding region of C9ORF72 causes chromosome 9p-linked FTD and ALS. Neuron 72:245-56 (2011).
5. Brettschneider J, et al. Pattern of ubiquilin pathology in ALS and FTLD indicates presence of c9orf72 hexanucleotide expansion. Acta Neuropathol. 123:825-39 (2012).
8. Rutherfored NJ, et al. Ubiquilin-1 and -2 are Predominantly Associated with Huntingtin Inclusions. Brain Res. 1524:62-73 (2013)<>/a>.