EnCor Biotechnology

Mouse Monoclonal Antibody to Visinin Like Protein 1 (VLP1), Cat# MCA-2D11

$250.00
Description

      The MCA-2D11 antibody was made against full length recombinant human VLP1 expressed in and purified from E. coli. It can be used to track this protein by ELISA, on western blots and in cells in culture and sections for IF, ICC and IHC. VLP1 is heavily concentrated in cerebellar granule cells and in most other neuronal types. We also manufacture another mouse monoclonal antibody MCA-3A9, and rabbit and chicken polyclonal antibodies to this protein, RPCA-VLP1 and CPCA-VLP1 respectively.

Collections:
Amount: 100µL of 1mg/mL
Amount: 100µL of 1mg/mL
Immunofluorescent analysis of rat cerebellum section stained with mouse mAb to VLP1, MCA-2D11, dilution 1:500, in red and costained with rabbit pAb to GFAP, RPCA-GFAP, dilution 1:5,000 in green. Following transcardial perfusion of rat with 4% paraformaldehyde, brain was post fixed for 24 hours, cut to 45μM, and free-floating sections were stained with the above antibodies. The VLP1 antibody reveals protein expressed in granule cell membranes and in synapses in the white matter and molecular layers of the cerebellum. The GFAP antibody stains the processes of Bergmann glia and astroglia.
Western blot analysis of different tissue lysates using mouse mAb to Visinin-like Protein 1 (VLP1), MCA-2D11, dilution 1:1,000 in green: [1] protein standard (red), [2] rat brain [3] rat cerebellum, and [4] mouse brain. The band at ~20kDa mark corresponds to the VLP1 protein.

Add a short description for this tabbed section

Immunogen: Recombinant full length human VLP1 protein expressed in and purified from E. coli.
HGNC Name: VSNL1
UniProt: P62760
Molecular Weight: 18kDa
Host: Mouse
Isotype: IgG1
Species Cross-Reactivity: Human, Rat, Mouse
RRID: AB_2572399
Format: Protein G affinity purified antibody at 1mg/mL in 50% PBS, 50% glycerol plus 5mM NaN3
Applications: WB, IF/ICC, IHC
Recommended Dilutions: WB: 1,000-2,000. IF/ICC and IHC: 1:500-1,000.
Storage: Store at 4°C for short term, for longer term store at -20°C. Stable for 12 months from date of receipt.

      Visinin was originally isolated biochemically from chicken retina as a major protein of ~24kDa on SDS-PAGE gels (1). Following cloning and sequencing of visinin, several visinin like proteins were discovered by homology screening (2,3). One of these, visinin-like protein 1 (VLP-1) is a low molecular weight protein which is very abundant in the nervous system and is found only in neurons, though different neurons have different levels of expression (4,5). The protein was discovered independently by several groups and is therefore also sometimes known as hippocalcin-like protein 3, HLP3, HPCAL3, HUVISL1, VILIP and VILIP-1. The protein belongs to the large superfamily of calmodulin and paravalbumin type proteins which function by binding Calcium ions. Calcium binding alters the conformation of these proteins and allow them to interact with other binding partners, the properties of which they may alter. Visinin-like protein 1 has four “EF hand” domains, which are negatively charged helix-turn-helix peptides which are responsible for Calcium binding. The protein is 191 amino acids in size and has a molecular weight on SDS-PAGE of 18kDa. The protein has recently been suggested to be a useful blood biomarker of Alzheimer’s disease and traumatic brain injury (6-8).



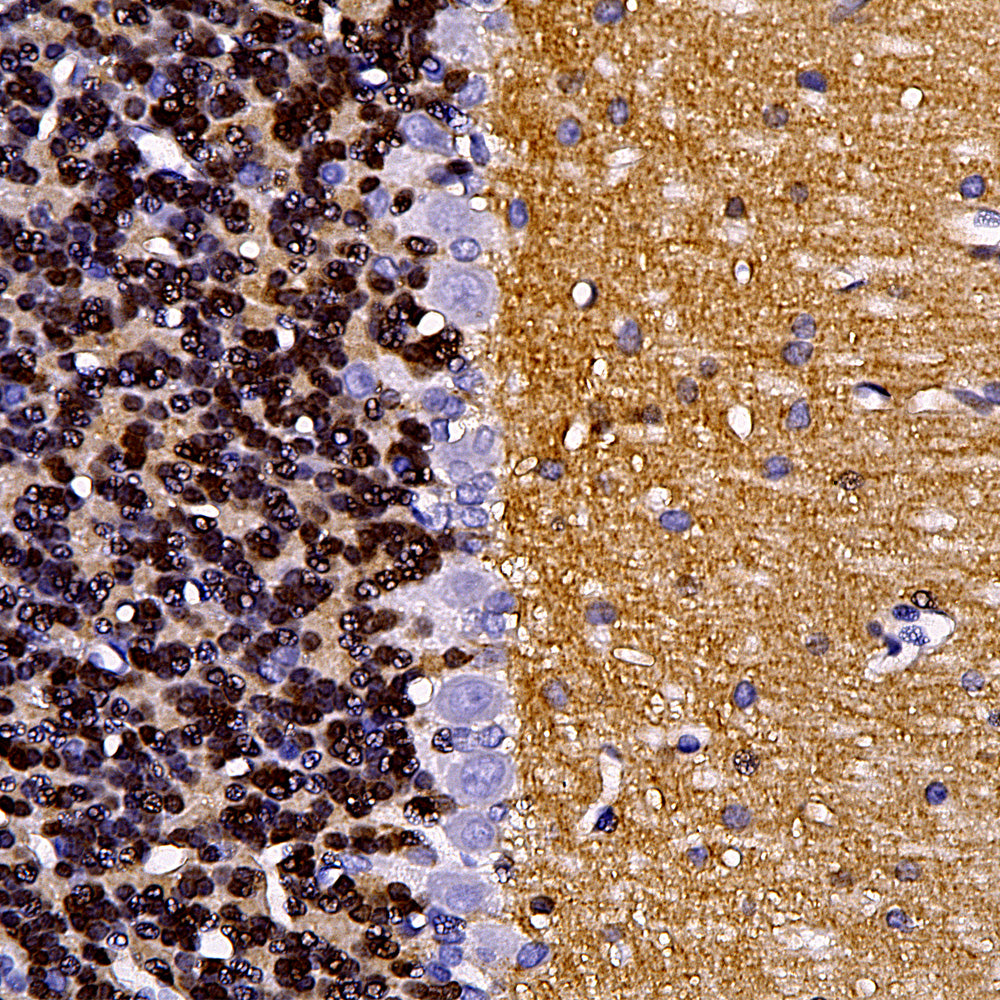
Chromogenic immunostaining of a NBF fixed paraffin embedded human cerebellum section with mouse mAb to VLP1, MCA-2D11, dilution 1:1,000, detected with DAB (brown) using the the Vector Labs ImmPRESS method and reagents with citrate buffer retrieval. Hematoxylin (blue) was used as the counterstain. This antibody performs well in testing with both 4% PFA and standard NBF fixed tissues. Mouse select image for larger view.



1. Hatakenaka S, Kuo CH, Miki N. Analysis of a distinctive protein in chick retina during development. Brain Res. 312:155-63 (1983).


2. Kuno T, et al. cDNA cloning of a neural visinin-like Ca(2+)-binding protein. Biochem. Biophys. Res. Commun. 184:1219-25 (1992).


3. Polymeropoulos MH, Ide S, Soares MB, Lennon GG. Sequence characterization and genetic mapping of the human VSNL1 gene, a homologue of the rat visinin-like peptide RNVP1. Genomics 29:273-5 (1995).


4. Bernstein HG, et al. Regional and cellular distribution of neural visinin-like protein immunoreactivities (VILIP-1 and VILIP-3) in human brain. J. Neurocytol. 28:655-62 (1999).


5. Paterlini M, Revilla V, Grant AL, Wisden W Expression of the neuronal calcium sensor protein family in the rat brain.
Neuroscience 99:205-16 (2000).


6. Laterza OF, et al. Identification of novel brain biomarkers. Clin. Chem. 9:1713-21 (2006).


7. Lee JM, et al. The brain injury biomarker VLP-1 is increased in the cerebrospinal fluid of Alzheimer disease patients. Clin. Chem. 10:1617-23 (2008).


8. Tarawneh R, et al. Visinin-like protein-1: diagnostic and prognostic biomarker in Alzheimer disease. Ann Neurol. 70:274-85 (2011).

Add a short description for this tabbed section