EnCor Biotechnology
Mouse Monoclonal Antibody to CNP, Cat# MCA-1H10
Description
The MCA-1H10 antibody was made against the full length recombinant form of human CNP expressed in and purified from E. coli, and can be used to identify myelinating cells in cell culture and in sections, and to trace axonal projections in sectioned material in ICC and IHC. The same recombinant protein was used to generate polyclonal rabbit, chicken, and goat antibodies to CNP RPCA-CNP, CPCA-CNP, and GPCA-CNP. These antibodies are excellent markers of myelin and myelinating cells and recognize CNP cleanly on western blots.
- Cell Structure Marker
- Cell Type Marker
- Developmental Marker
- Immunohistochemistry Verified
- Mouse Monoclonal Antibodies
Add a short description for this tabbed section
| Immunogen: | Full length human recombinant protein expressed in and purified from E. coli |
| HGNC Name: | CNP |
| UniProt: | P09543 |
| Molecular Weight: | 46, 48kDa |
| Host: | Mouse |
| Isotype: | IgG1 |
| Species Cross-Reactivity: | Human, Rat, Mouse |
| RRID: | AB_2572250 |
| Format: | Purified antibody at 1.0 mg/mL in 50% PBS, 50% glycerol plus 5mM NaN3 |
| Applications: | WB, IF/ICC, IHC |
| Recommended Dilutions: | WB: 1:1,000-1:2,000. IF/ICC: 1:500. IHC: 1:1,000-1:2,000. |
| Storage: | Store at 4°C for short term, for longer term store at -20°C. Stable for 12 months from date of receipt. |
The 2′,3′-cyclic nucleotide 3′-phosphodiesterase (CNP), is an enzyme which catalyzes the hydrolysis of 2′, 3′-cyclic nucleotides to 2′-nucleotides, These cyclic nucleotides are structurally different from the better known and studied 3′-5′-cyclic nucleotides of which the best known example is cyclic AMP. CNP has two isoforms, CNPase 1 (46kDa) and CNPase 2 (48kDa), which are encoded separately by different promoters of the same gene (1). These enzymes are present in very high levels in brain and peripheral nerve, makes up 4% of total CNS myelin protein. They are found almost exclusively in oligodendrocytes and Schwann cells, appearing early in oligodendrocyte development, earlier than most other myelin specific proteins (2). Antibodies to CNP have been very useful as a marker for these particular cell types. CNP is thought to play a critical role in the events leading up to myelination, for the oligodendrocytes overexpressing CNP appear to mature earlier in development, resulting in earlier maximum gene expression for myelin basic proteins (3). It has been reported that CNP is also associated with microtubules in brain tissue and may promote microtubule assembly. CNP can link tubulin to cellular membranes, and may regulate cytoplasmic microtubule distribution (4). In various diseases, neurological mutants, and in experimental conditions in which myelin is reduced, CNP levels may also be severely reduced. Decreased brain levels of CNP have also been reported in Down syndrome and Alzheimer’s disease (50).

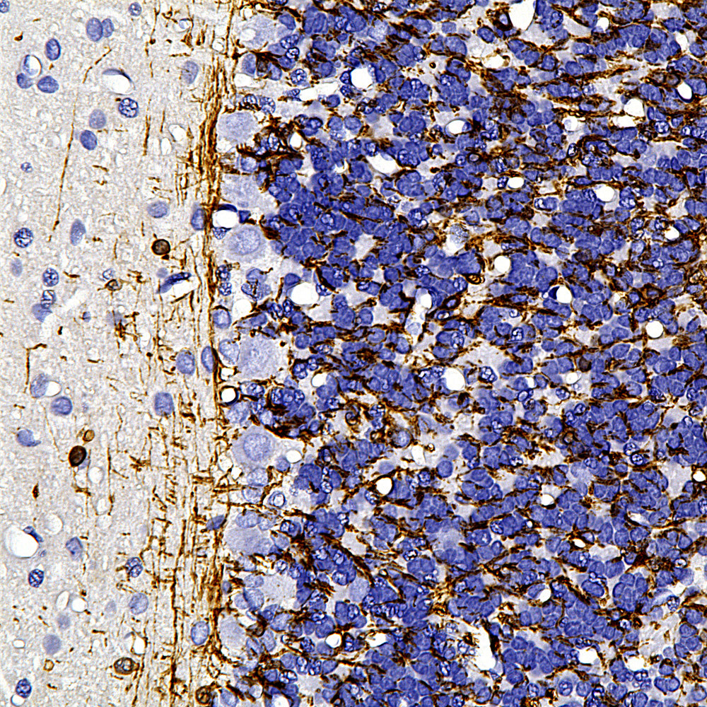
Chromogenic immunostaining of a 4%PFA fixed paraffin embedded rat cerebellum section with mouse mAb to CNP, MCA-1H10, dilution 1:1,000, detected in DAB (brown) following the Vector Labs the Vector Labs ImmPRESS method and reagents with citrate buffer retrieval. Hematoxylin (blue) was used as the counterstain. In the cerebellum, the CNP antibody labels white matter cells, processes in the white matter and processes in the granular layer. This antibody performs well in testing with both 4% PFA and standard NBF fixed tissues. Mouse select image for larger view.
1. Monoh K, Kurihara T, Sakimura K, Takahashi Y. Structure of mouse 2′,3′-cyclic-nucleotide 3′-phosphodiesterase gene. BBRC 165:1213-20 (1989).
2. Kasama-Yoshida H, et al. A comparative study of 2′,3′-cyclic-nucleotide 3′-phosphodiesterase in vertebrates: cDNA cloning and amino acid sequences for chicken and bullfrog enzymes. J. Neurochem. 69:1335–42 (1997).
3. Gravel M, et al. Overexpression of 2′,3′-cyclic nucleotide 3′-phosphodiesterase in transgenic mice alters oligodendrocyte development and produces aberrant myelination. Mol. Cell. Neurosci. 6:453-66 (1996).
4. Bifulco M, Laezza C, Stingo S, Wolff J. 2′,3′-Cyclic nucleotide 3′-phosphodiesterase: a membrane-bound, microtubule-associated protein and membrane anchor for tubulin. PNAS 99:1807–11 (2001).
5. Vlkolinský R, Cairns N, Fountoulakis M, Lubec G. Decreased brain levels of 2′,3′-cyclic nucleotide-3′-phosphodiesterase in Down syndrome and Alzheimer’s disease. Neurobiol. Aging 22:547-53 (2001).
Add a short description for this tabbed section
